症例詳細
Case detail
全ての歯を治療したい
治療症例の内容
- 担当医
- 大元洋佑(ドクタープロフィール)
- 患者様
- 40代男性
- 治療期間
- 2年
- 治療回数
- 10-30回
- 治療計画
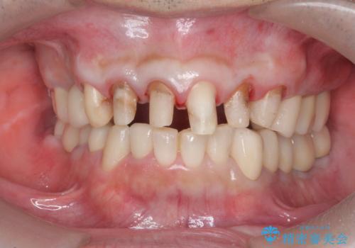
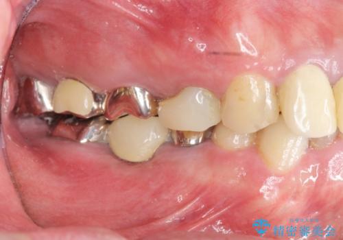
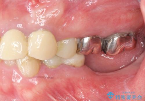
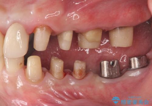
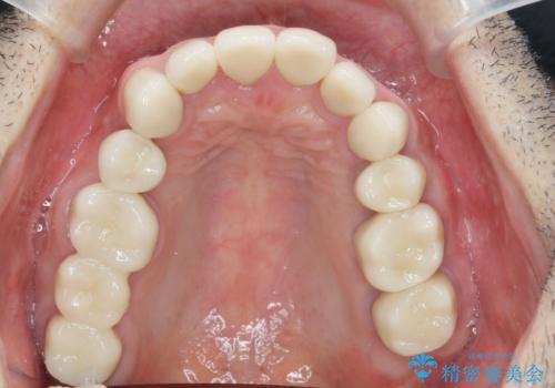
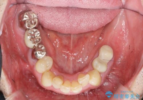
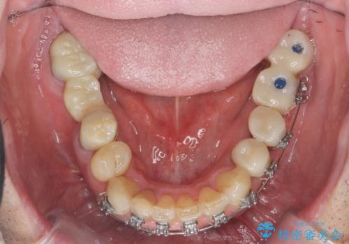
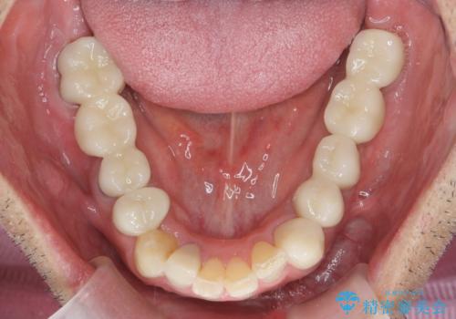
- 「少しずつ色々な箇所が悪くなり、歯医者に通い続けている。全ての歯を長持ちするような状態にできるような治療を受けたい。」、と全顎・総合的な治療を希望され来院されました。
根管治療・矯正治療・歯周外科・セラミック補綴を含む様々な治療オプションを駆使し、長期間良好な状態に保てるような治療計画を立案します。
- 費用(概算)
- 440万円費用は治療当時の料金となります
治療について
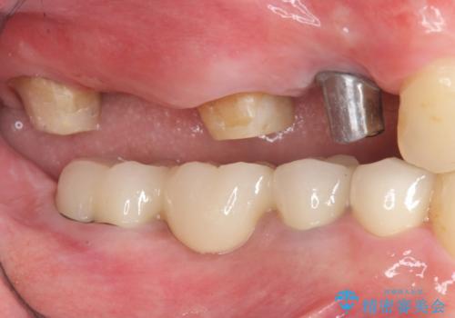
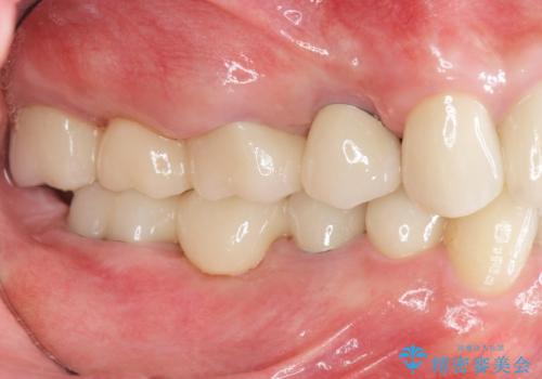
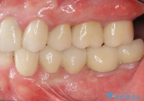
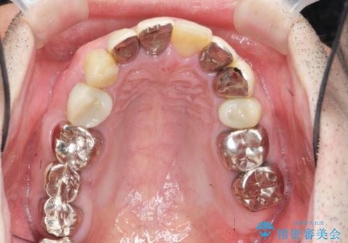
矯正治療を絡めた総合的な治療をお行なったことで、理想的な咬合関係を確立し安定した噛み合わせで仕上げることができました。
また歯周外科を行うことで歯ぐきの腫れを改善し、清掃性を高めています。
インプラント治療の注意事項(リスク・副作用など)
- 外科手術のため、術後に痛みや腫れ、違和感を伴います
- メンテナンスを怠ったり喫煙により、お口の中に大きな悪影響を及ぼすインプラント周囲炎等にかかる可能性があります
- 糖尿病、肝硬変、心臓病等の場合、インプラント治療ができない可能性があります
- 高血圧、貧血・不整脈等の場合、インプラント治療後に治癒不全を招く可能性があります
- 自費診療(保険適用外治療)となります
セラミック治療の注意事項(リスク・副作用など)
- 天然歯を削ります
- 硬い素材は天然歯を傷つけてしまう場合があります
- かみ合わせや歯ぎしりが強すぎる方はセラミックが割れてしまう可能性があります
- 自費診療(保険適用外治療)となります
当サイトの内容、テキスト、画像等の無断転載、複製、複写、盗用を固く禁じます。


















