症例・治療例紹介
Cases
最新の症例
深い咬み合わせと前歯のデコボコの改善 インビザラインによる矯正治療
担当医 藤巻太一朗


この際全てをしっかりと治療したい 総合歯科治療
担当医 藤巻太一朗


割れてしまった前歯 インプラントによる補綴治療


金属の縁が見えてしまったクラウン オールセラミッククラウンで審美的に


ハーフリンガル 反対咬合の改善


汚れてしまった前歯の仮歯 オールセラミッククラウンにて自然に


矯正治療とインプラント治療を同時に 総合歯科診療


オールセラミッククラウン 他院にて抜歯と言われた歯の治療


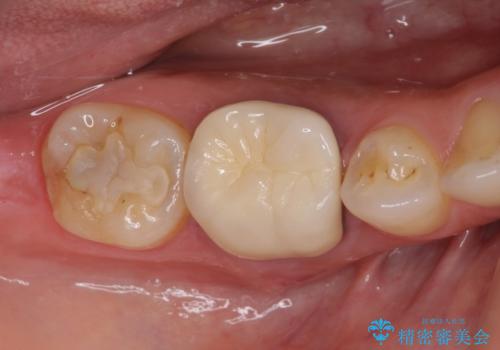
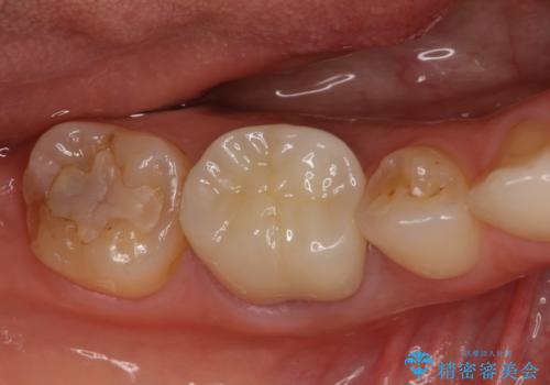
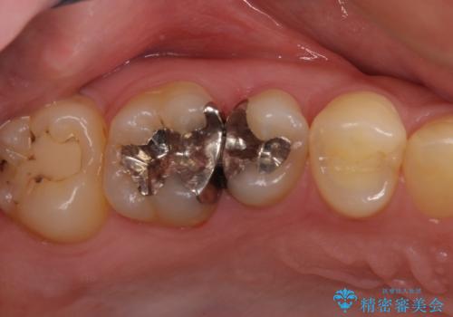
セラミックインレー 痛む歯の治療


歯が折れた どうしても抜きたくない 歯の牽引で保存可能に


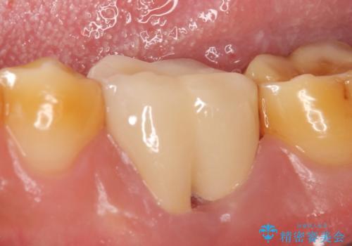
奥歯の深い虫歯をオールセラミックで治療


古くなったメタルボンドをオールセラミッククラウンに


オープンバイトのインビザラインを用いた再矯正






