症例・治療例紹介
Cases
最新の症例
前歯のデコボコを治したい インビザラインによる矯正治療


強い咬み合わせで割れてしまった奥歯 インプラントによる咬合回復


矮小歯(通常より小さな歯)をオールセラミックを装着して自然な歯へ


上下の前歯が当たらない インビザラインによる開咬の矯正治療


不自然な前歯のかぶせ物をオールセラミックへ


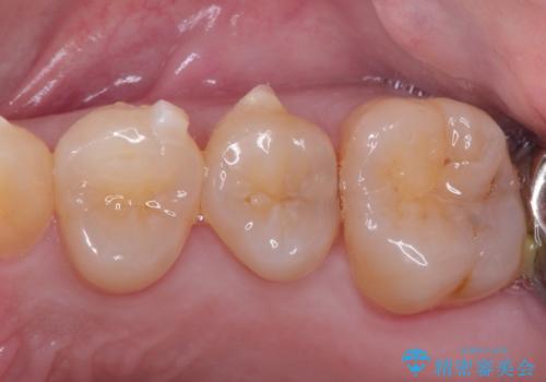
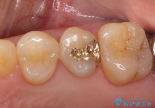
オールセラミッククラウン 歯茎より深い虫歯の治療 神経が死んでる歯の治療


舌小帯を切りたい 発音を良くしたい
担当医 井上季実子


[滑舌が気になる] 舌小帯形成術
担当医 大元洋佑
![[滑舌が気になる] 舌小帯形成術の症例 治療前](https://seimitsushinbi.jp/wp/wp-content/uploads/2020/04/8ed6139f5e3748a3a4e75c04a8849f3e-500x350.jpg?v=1587871433)
![[滑舌が気になる] 舌小帯形成術の症例 治療後](https://seimitsushinbi.jp/wp/wp-content/uploads/2020/04/fb799f9ba89416b633853e7babc41469-500x350.jpg?v=1587871469)
舌が持ち上がらない 舌小帯切除
担当医 井上季実子


上唇小帯切除後の経過 自然に前歯が閉じた
担当医 井上季実子


オールセラミッククラウン(スペシャル) より綺麗な歯へ










