症例・治療例紹介
Cases
最新の症例
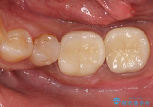
神経近くにまで及んだ大きなむし歯のセラミッククラウン


どんなに磨いても汚れが溜まる 抜歯矯正で清潔な口元に


口元をスッキリと ワイヤーでの抜歯矯正


前歯の咬み合わせとデコボコを解消 インビザラインによる矯正治療
担当医 藤巻太一朗


歯を白くしたい‐ウォーキングブリーチで内側から白く


前歯の隙間 インビザラインにて整った歯並びへ


[口ゴボ] 口元が出ているのが気になる ワイヤーによる抜歯矯正で口元をすっきりと
![[口ゴボ] 口元が出ているのが気になる ワイヤーによる抜歯矯正で口元をすっきりとの症例 治療前](https://seimitsushinbi.jp/wp/wp-content/uploads/2020/08/IMG_1419-500x350.jpg?v=1596711819)
![[口ゴボ] 口元が出ているのが気になる ワイヤーによる抜歯矯正で口元をすっきりとの症例 治療後](https://seimitsushinbi.jp/wp/wp-content/uploads/2020/08/IMG_2186-500x350.jpg?v=1596711951)
インビザライン 前歯のがたつきを目立たず矯正


以前治療した歯が痛む 銀歯をセラミックに


毎月のメンテナンス
担当医 歯科衛生士


セラミック治療を考えている方のクリーニング
担当医 歯科衛生士


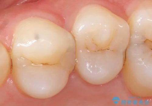
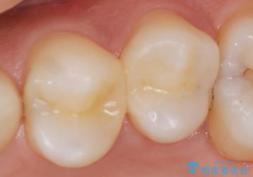
奥歯が痛い。精密根管治療〜オールセラミッククラウン


他院で治療しても治らない。奥歯の治療。
担当医 河口智英



![[30代女性] ホームホワイトニングの症例 治療前](https://seimitsushinbi.jp/wp/wp-content/uploads/2020/08/IMG_0370-500x350.jpg?v=1596768224)
![[30代女性] ホームホワイトニングの症例 治療後](https://seimitsushinbi.jp/wp/wp-content/uploads/2020/08/IMG_2307-500x350.jpg?v=1596768181)

