症例・治療例紹介
Cases
最新の症例
オールセラミッククラウン 痛くて咬めない奥歯の治療


オールセラミッククラウン 鈍い痛みが続く奥歯の治療


セラミックインレー 気になる銀歯を白く


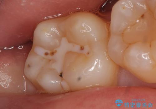
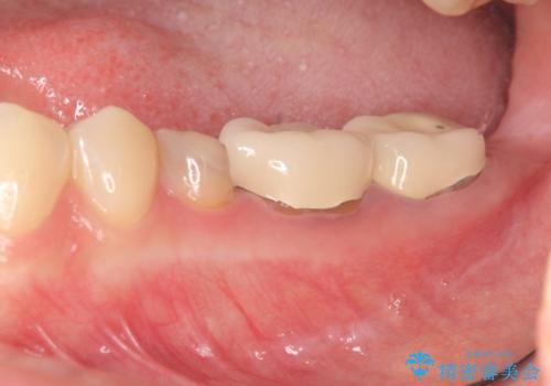
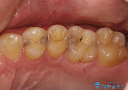
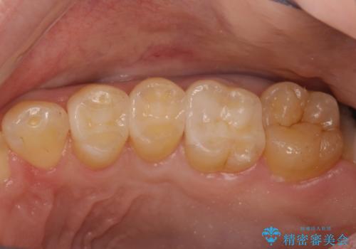
被せ物の下で進行してしまった虫歯の治療


セラミックインレー 冷たいものがしみる奥歯の治療


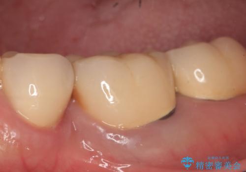
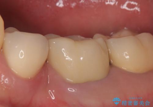
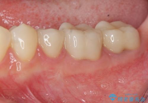
[入れ歯にしたくない] 臼歯部インプラント補綴
![[入れ歯にしたくない] 臼歯部インプラント補綴の症例 治療前](https://seimitsushinbi.jp/wp/wp-content/uploads/2020/08/c89f15414a41670fa9cbc5562a5283a4-500x350.jpg?v=1598091726)
![[入れ歯にしたくない] 臼歯部インプラント補綴の症例 治療後](https://seimitsushinbi.jp/wp/wp-content/uploads/2020/08/40203d8ec807f80162ba528bc60fcc0b-500x350.jpg?v=1598091744)
PGA(ゴールド)インレー しみる銀歯の虫歯治療


インプラントを用いた臼歯部欠損補綴


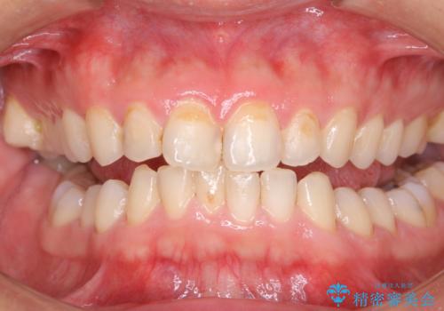
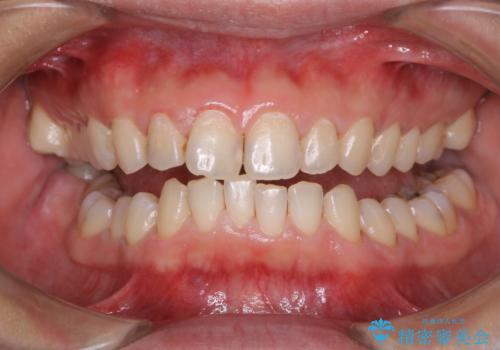
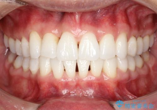
歯ぐきからの出血 歯周外科による改善
担当医 大元洋佑


虫歯で歯が折れた セラミック審美修復


30年ぶりに歯科医院へ来院 クリーニングと口腔内のチェック
担当医 歯科衛生士


インビザライン終了時のPMTC
担当医 歯科衛生士


裏側のワイヤー矯正 抜歯して前歯をしっかり後ろに下げる


話しにくい歯並びの改善 抜歯矯正治療と前歯の審美治療




