症例・治療例紹介
Cases
最新の症例
精度の高いセラミッククラウン
担当医 大元洋佑


オールセラミッククラウン 神経が死んでいる歯の治療


上下の前歯のガタガタを目立たず治したい インビザラインによる見えない矯正


上唇小帯切除 矯正前の予防的外科処置


気になる八重歯を治したい インビザラインと補助装置を用いた抜歯治療


変色した前歯 オーダーメイドタイプのオールセラミッククラウン


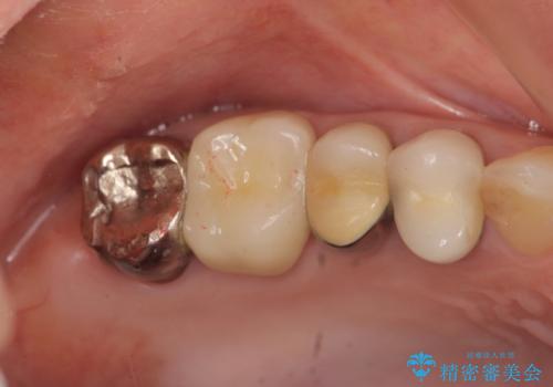
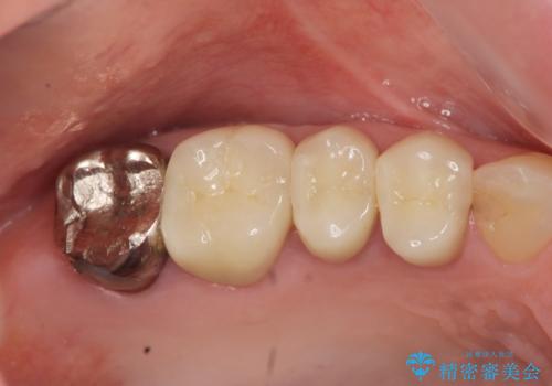
痛む奥歯 セラミッククラウンによるむし歯治療


「整形した?」と言われるほどの変化! 口元を矯正治療で改善 鼻を高くしたわけでも、アゴに何か入れたわけでもありません。


海外留学をしながら歯並びを整えたい インビザラインによる矯正治療


前歯のつめもの きれいにしたい 30代男性












