症例・治療例紹介
Cases
最新の症例
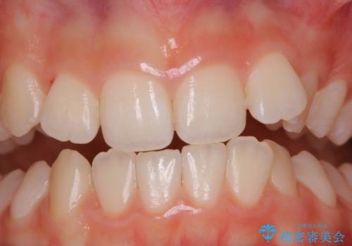
前歯のクロスバイトとガタつきをマウスピース矯正(インビザライン )で治療した症例


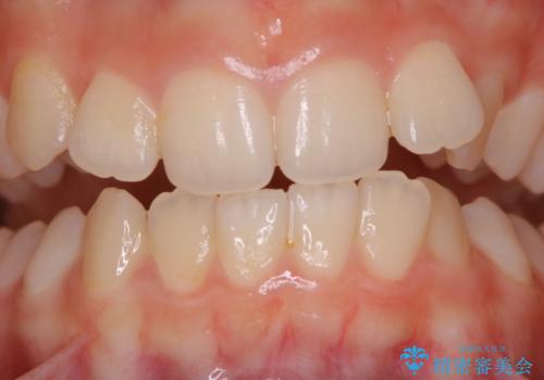
前歯の突出、深い噛み合わせ、ガタつきをマウスピース矯正(インビザライン)で治療した症例


ワイヤー矯正中のクリーニング pmtc
担当医 歯科衛生士


1年ぶりの歯科医院でクリーニング
担当医 歯科衛生士


iTero スキャニングの前(invisalignの型どり)のPMTC
担当医 歯科衛生士


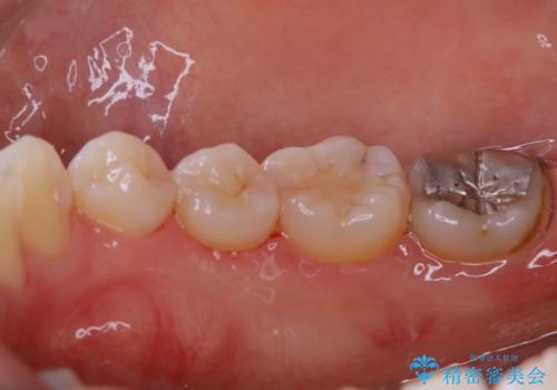
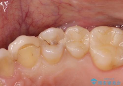
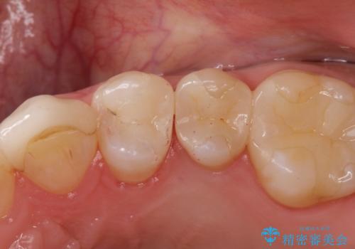
虫歯をセラミックで治療


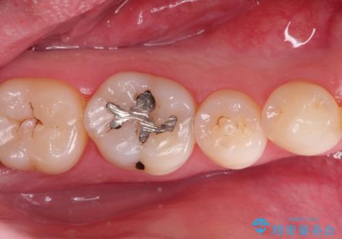
磨けているようで磨けていない汚れをPMTCで徹底的に除去
担当医 歯科衛生士


定期的なPMTCでオーラルケア
担当医 歯科衛生士


気になる前歯を治したい インビザライン矯正とオールセラミッククラウン


抜歯矯正の後戻りによるすきっ歯をインビザラインで












