症例・治療例紹介
Cases
最新の症例
著しい叢生と顎骨のズレ ワイヤー装置による抜歯矯正


乳歯を抜いてインプラントに 咬み合わせ改善のインビザライン矯正


妊娠中に治療を終了 ワイヤー装置によるスピーディーな矯正治療
担当医 藤巻太一朗


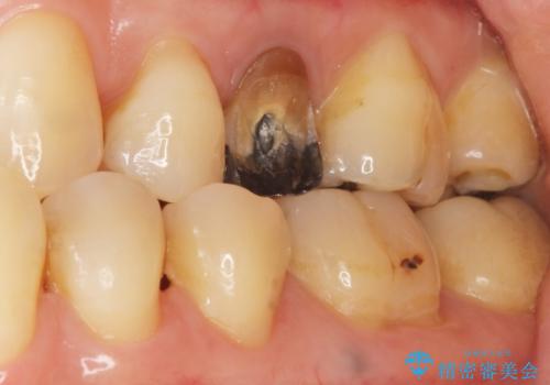
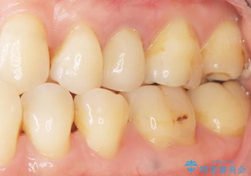
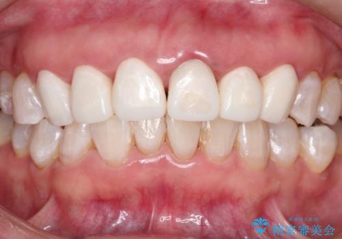
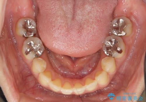
神経が死んで変色した歯 根管治療とオールセラミッククラウン


【空隙歯列】ワイヤー矯正で短期間に治療を終えたい
担当医 河口智英


【中心結節破折】MTAセメントを用いたアペキシフィケーション


【サイナストラクト】歯肉に膿の出口がある歯の治療


歯が欠けた セラミッククラウンで綺麗に 40代女性


金属を白くしたい、セラミックへ


全体のガタガタをインビザラインできれいな歯並びへ


他院で入れたセラミッククラウンの色が気に入らない 20代男性










