症例詳細
Case detail
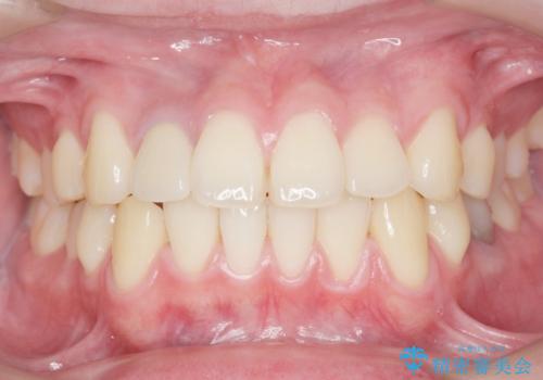
他院で入れたセラミッククラウンの色が気に入らない 20代男性
治療症例の内容
- 診療科目
- 治療カテゴリ
- 担当医
- 患者様
- 20代男性
- 治療期間
- 2ヶ月
- 治療回数
- 2-5回
- 治療計画
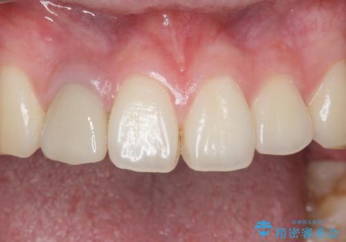
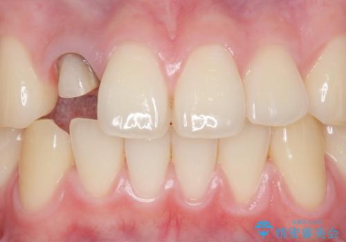
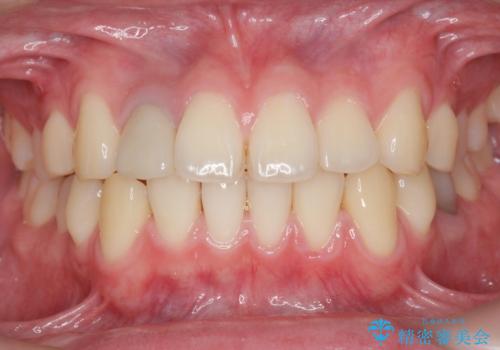
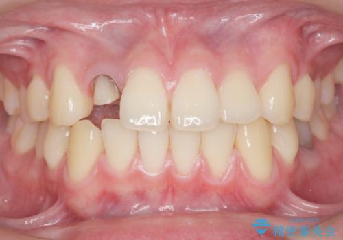
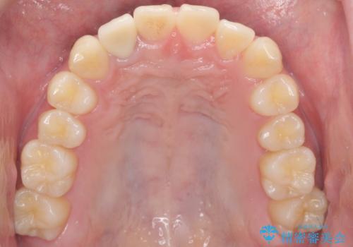
- 他院で入れたセラミッククラウンの色が気に入らないことを主訴に来院された患者様です。
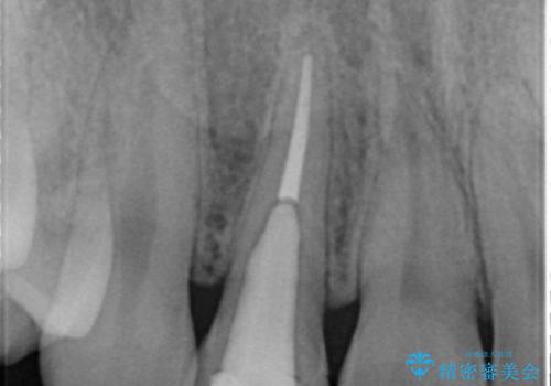
高校生の時に部活で前歯をぶつけて神経が死んでしまい、歯が黒く変色したためセラミッククラウンで治療したとのことでした。
精査したところ、透過性のあるセラミッククラウンで治療されており、内側の黒い土台が透けてクラウンが黒ずんで見えていました。
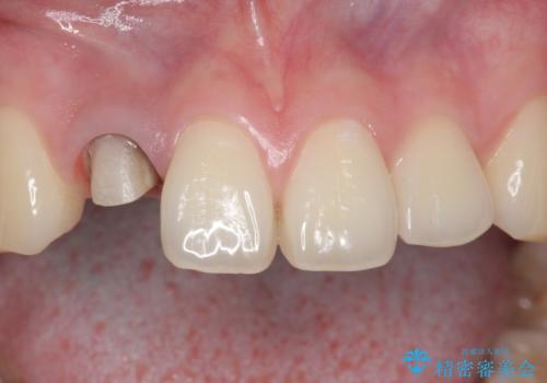
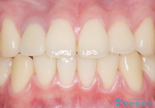
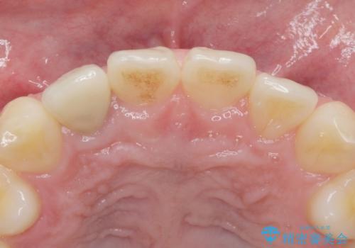
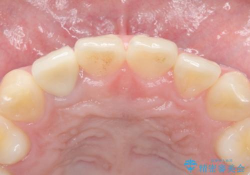
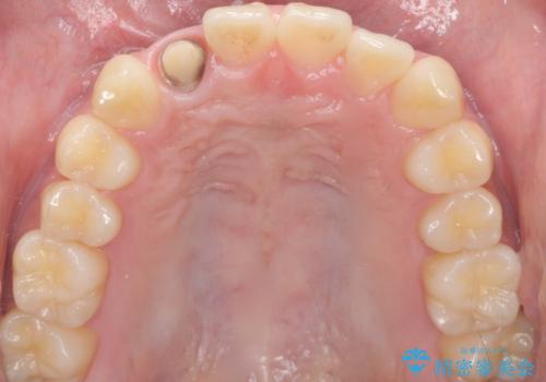
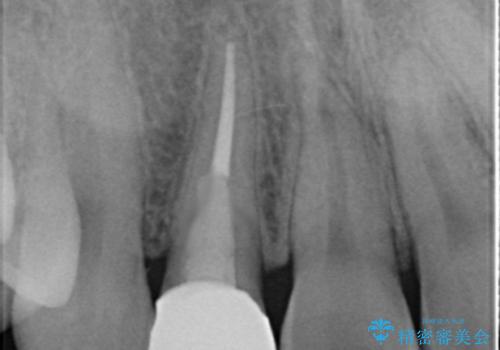
土台を白いファイバーコアにやりかえたのち、土台の色を透過させないジルコニアフレームを用いたセラミッククラウンによる治療を行いました。
失活(神経が死んでしまっていること)により黒くなった歯根が透けて歯ぐきも黒ずんで見えるため、歯肉移植の手術も提案しましたが、そこまでは気にならないとご希望されませんでした。
- 費用(概算)
- ¥176,000 (税込) 内訳:仮歯 ¥11,000、ファイバーコア ¥22,000、クラウン ¥143,000費用は治療当時の料金となります
治療について
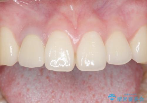
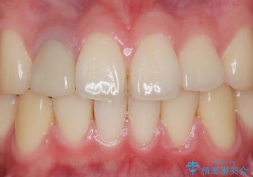
自然な仕上がりにご満足頂けました。
以前他院で治療された時は、自分で見た目を確認させてもらえないまま本付けされてしまったそうです。
当院では、できあがったクラウンを試適した状態でご確認頂き、必要があれば色や形態を修正したり、ご希望があれば仮付けをして1~2週間様子を見て頂いたりすることが可能です。(処置内容はクラウンのグレードにより変わります)
治療終了時には「修正や仮付けをしてもらえて納得のいく治療を受けられました。この病院にして良かったです!」とおっしゃって下さいました。
クラウンの種類:オールセラミッククラウン スペシャル
セラミック治療を受ける際のポイント
セラミック治療は高額ですが、色や形を改善したい場合、基本的には新たに作り直すことになってしまいます。
後悔しないためにも、セラミック治療を受ける際には以下のポイントに気を付けて医院を選ぶことをお勧めします。
・カウンセリング等治療中にこちらの希望をしっかり汲み取ってくれるか
・仮歯の段階で嚙み合わせなどゴールをイメージして調整してくれるか
・実績や症例の数は十分か
セラミック治療の注意事項(リスク・副作用など)
- 天然歯を削ります
- 硬い素材は天然歯を傷つけてしまう場合があります
- かみ合わせや歯ぎしりが強すぎる方はセラミックが割れてしまう可能性があります
- 自費診療(保険適用外治療)となります
当サイトの内容、テキスト、画像等の無断転載、複製、複写、盗用を固く禁じます。




















