症例・治療例紹介
Cases
最新の症例
前歯が気になる 大人のマウスピース矯正 矮小歯を整える


歯の表面に付着したステインをPMTCで除去。
担当医 歯科衛生士


出っ歯 下の歯のガタガタ 下の前歯のみ1本抜歯 マウスピースで1年


下の前歯が1本短い インビザラインと部分矯正の組み合わせ


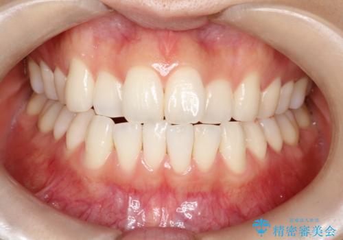
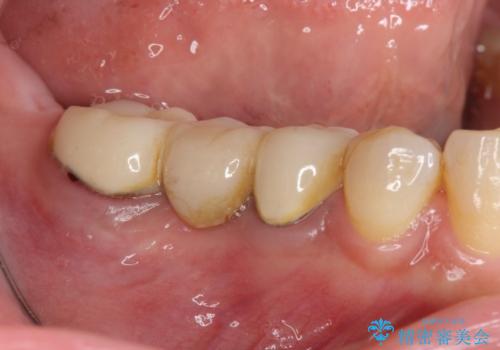
奥歯の虫歯 歯の間を広げてセラミックでしっかり治療


低予算で銀歯を白くしたい 50代女性


5・6年ぶりに歯のクリーニング
担当医 歯科衛生士


[ 舌小帯の形成 ] 滑舌が悪いと言われる、話しづらい
担当医 大元洋佑
![[ 舌小帯の形成 ] 滑舌が悪いと言われる、話しづらいの症例 治療前](https://seimitsushinbi.jp/wp/wp-content/uploads/2021/07/65efe28f05c8bc8266a054e337d8a987-500x350.jpg?v=1626308574)
![[ 舌小帯の形成 ] 滑舌が悪いと言われる、話しづらいの症例 治療後](https://seimitsushinbi.jp/wp/wp-content/uploads/2021/07/9a0e2d1f2bdecf6d77e84a94c98c2f5e-500x350.jpg?v=1626308612)
口元が出てるの気になる ハーフリンガルによる抜歯矯正での横顔改善


プラークなどによる歯の黄ばみ
担当医 歯科衛生士


前歯のステインを取りたい PMTCできれいに
担当医 歯科衛生士


矯正治療が始まる前に歯磨きチェックとクリーニング
担当医 歯科衛生士








