症例・治療例紹介
Cases
最新の症例
[インビザライン] 前歯のガタつき・すれ違い マウスピース矯正治療
![[インビザライン] 前歯のガタつき・すれ違い マウスピース矯正治療の症例 治療前](https://seimitsushinbi.jp/wp/wp-content/uploads/2021/08/0b21121c07cfd741f7e6e7110f2c1705-500x350.jpg?v=1629705726)
![[インビザライン] 前歯のガタつき・すれ違い マウスピース矯正治療の症例 治療後](https://seimitsushinbi.jp/wp/wp-content/uploads/2021/08/IMG_3357-500x350.jpg?v=1629705763)
精密根管治療の開始前にPMTC
担当医 歯科衛生士


PMTCで歯の着色落とし
担当医 歯科衛生士


大人になってからの乳歯脱落 セラミックブリッジによる補綴
担当医 大元洋佑


半年ぶりのメンテナンス PMTCでピカピカな歯に
担当医 歯科衛生士


下顎骨が顕著に右側にずれている インビザラインによる咬合改善


抜かなければいけない前歯 歯肉移植を用いたオールセラミックブリッジ
担当医 藤巻太一朗


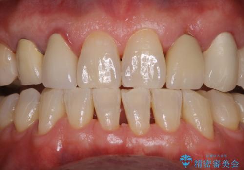
話にくい 咬みにくい 笑いにくい 気に入らないセラミッククラウンを全て作り直し


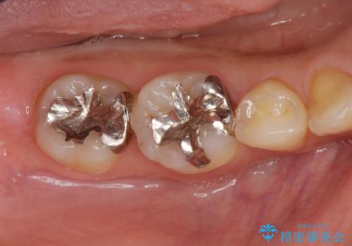
噛むと痛い銀歯 根管治療を伴うやりかえ
担当医 大元洋佑


10年以上ぶりに歯のクリーニング
担当医 歯科衛生士


インビザライン中にステインの除去
担当医 歯科衛生士


親知らずの抜歯前にPMTC
担当医 歯科衛生士








