症例・治療例紹介
Cases
最新の症例
歯肉から膿が出る 破折した奥歯の抜歯即時埋入インプラント


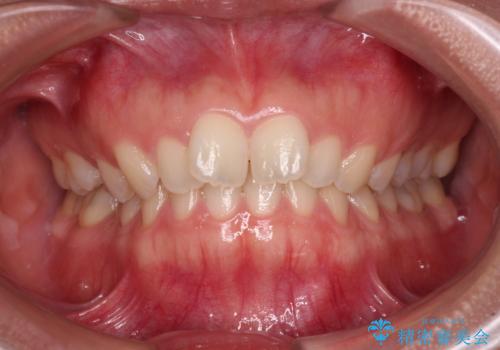
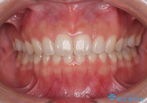
急速拡大装置 狭い骨幅を拡大した上で、口元の突出感を改善する抜歯矯正治療


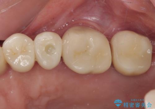
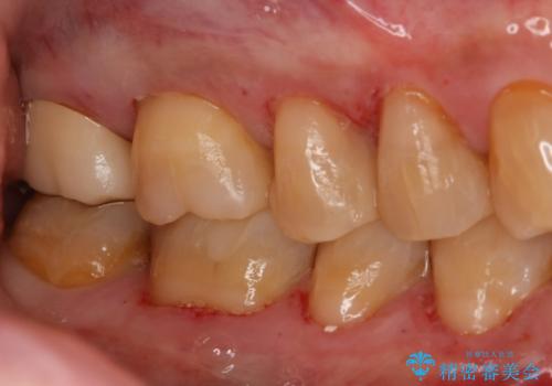
破折によりクラウンの外れてしまった奥歯 抜歯即時埋入で短期間インプラント治療


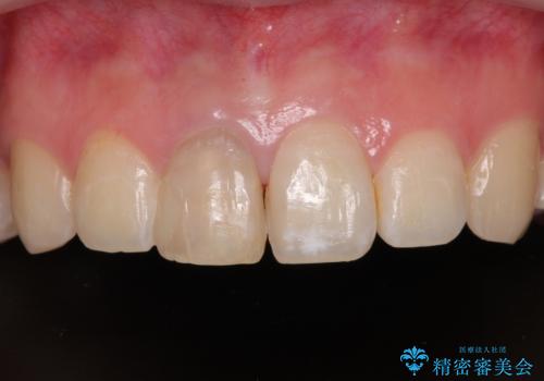
神経を取って変色した歯 オールセラミッククラウンで綺麗に仕上げる


【モニター】とがった口元を抜歯して改善 ワイヤー装置の矯正治療
担当医 藤巻太一朗


マウスピースが面倒くさい インビザラインでできるところまで頑張った矯正治療
担当医 藤巻太一朗


出っ歯を治したい ワイヤー装置での抜歯矯正
担当医 藤巻太一朗


抜歯が必要な歯をインプラントに 短期間インプラント治療


欠損の多い奥歯 インプラントによる補綴治療


飛び出した前歯 インビザラインを用いた抜歯矯正治療


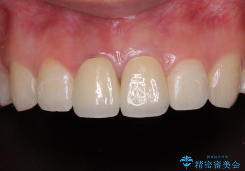
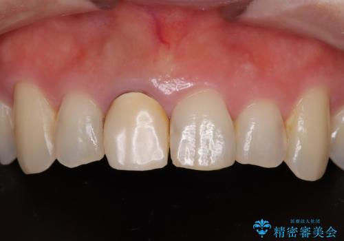
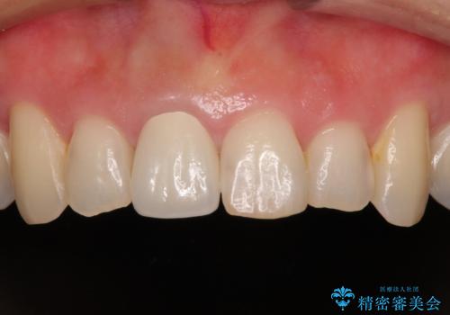
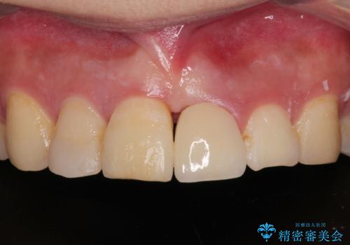
不自然な色彩の前歯 オールセラミッククラウンで自然な口元に


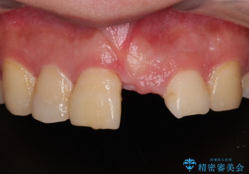
転んで折れてしまった前歯 インプラント補綴治療


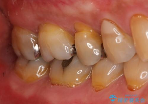
銀歯からセラミックへ






