症例・治療例紹介
Cases
最新の症例
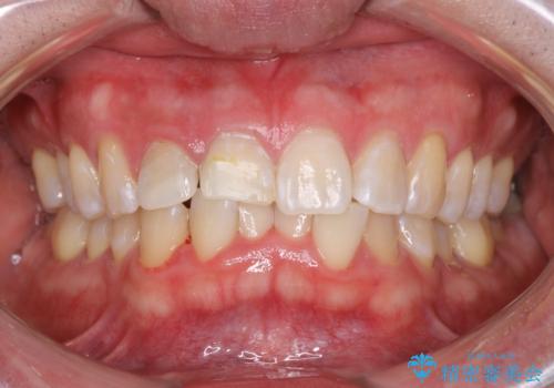
【八重歯・重度のがたつきでお悩みの方必見】抜歯矯正症例(審美ワイヤー矯正)


【がたつき・深い噛み合わせでお悩みの方必見】抜歯矯正症例(審美ワイヤー矯正)


【前歯のがたつきでお悩みの方必見】インビザライン矯正の症例
担当医 奥村高広


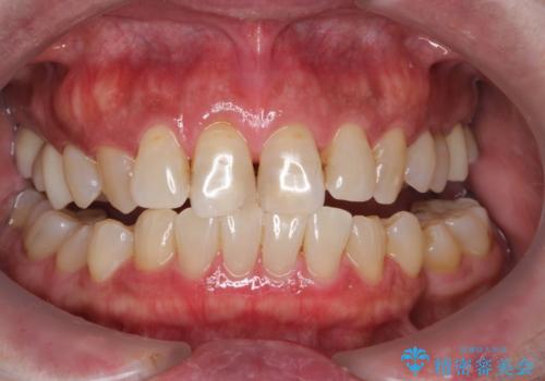
治療の前にオフィスホワイトニング
担当医 歯科衛生士


初めてのオフィスホワイトニング
担当医 歯科衛生士


PMTCでステイン除去をし綺麗な歯へ
担当医 歯科衛生士


前歯の着色をきれいに除去
担当医 歯科衛生士


PMTCでツルツルな歯に
担当医 歯科衛生士


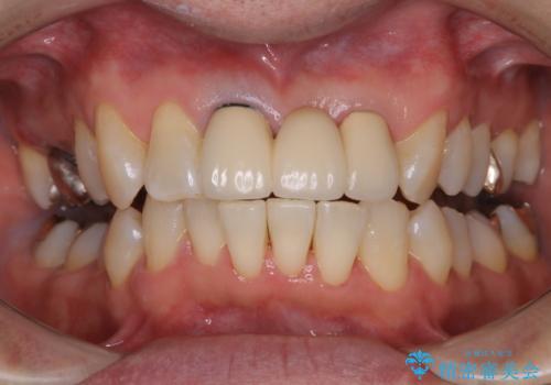
骨の造成を同時に行うインプラント治療


[ インプラントオーバーデンチャー ] インプラント+入れ歯・ブリッジで作るしっかりとした咬合状態
![[ インプラントオーバーデンチャー ] インプラント+入れ歯・ブリッジで作るしっかりとした咬合状態の症例 治療前](https://seimitsushinbi.jp/wp/wp-content/uploads/2022/04/0a652e75d5f31b51f66fbb3c46093249-500x350.jpg?v=1650443463)
![[ インプラントオーバーデンチャー ] インプラント+入れ歯・ブリッジで作るしっかりとした咬合状態の症例 治療後](https://seimitsushinbi.jp/wp/wp-content/uploads/2022/04/4c6838854beaf5801dbc7fde26492d6c-500x350.jpg?v=1650443495)
数十年ぶりに歯のお掃除
担当医 歯科衛生士










