症例・治療例紹介
Cases
最新の症例
変色した前歯 オールセラミッククラウンにより審美歯科治療


出っ歯と八重歯 目立たない裏側装置でスッキリとした口元に


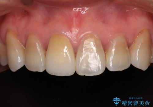
前歯をきれいな被せ物にしたい。
担当医 青山卓弘


適合の悪い保険診療のクラウンをオールセラミッククラウンに


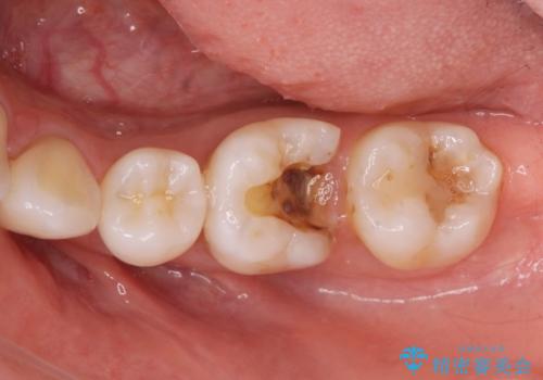
産後の虫歯治療 セラミッククラウンでの治療
担当医 岡田康成


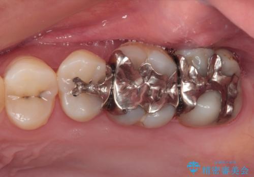
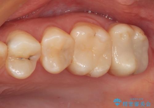
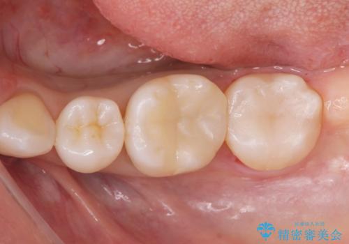
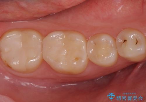
銀歯をなくしたい ジルコニアクラウンでの修復
担当医 岡田康成


前歯を綺麗にしたい。 ジルコニアクラウンでの修復
担当医 岡田康成


自然な前歯にしたい ジルコニアクラウンでの修復
担当医 岡田康成


【モニター】横顔のシルエットをスッキリと ワイヤー装置による抜歯矯正治療


既に2本が抜歯されている歯列 咬み合わせのズレを改善する抜歯矯正
担当医 藤巻太一朗


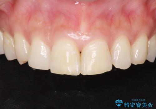
[ 前歯のセラミックブリッジ治療 ] 見た目の悪い前歯をきれいにしたい。
![[ 前歯のセラミックブリッジ治療 ] 見た目の悪い前歯をきれいにしたい。の症例 治療前](https://seimitsushinbi.jp/wp/wp-content/uploads/2023/10/bd94a69cbbac9ac5b10d5d7c87cda996-500x350.jpg?v=1697166512)
![[ 前歯のセラミックブリッジ治療 ] 見た目の悪い前歯をきれいにしたい。の症例 治療後](https://seimitsushinbi.jp/wp/wp-content/uploads/2023/10/97d6e451026ee82dd001df2bb2952523-500x350.jpg?v=1697166525)








