症例・治療例紹介
Cases
最新の症例
閉じにくい唇 抜歯矯正でスッキリした横顔に
担当医 藤巻太一朗


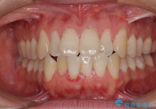
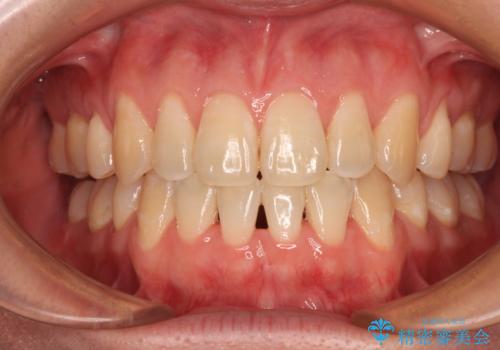
前に出ている前歯を引っ込めたい インビザライン矯正
担当医 藤巻太一朗


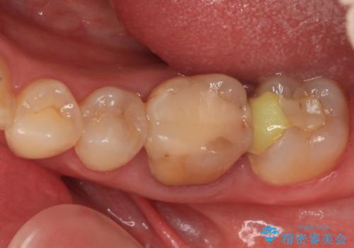
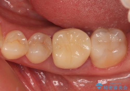
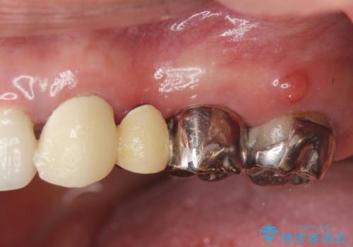
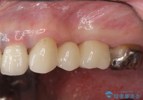
クラウンに穴が空いてしみる奥歯 オールセラミッククラウンによる補綴治療


デコボコ歯列をきれいに インビザラインによる矯正治療
担当医 藤巻太一朗


【モニター】前歯の突出感を抜歯矯正で改善


抜歯が必要な奥歯と前歯のデコボコ インプラント治療とインビザライン矯正治療


抜歯矯正へ切り替え 表側のワイヤー矯正
担当医 藤巻太一朗


口が閉じられない 抜歯矯正で横顔の印象が劇的に変化


膨らんだ口元をスッキリと ワイヤー装置での抜歯矯正
担当医 藤巻太一朗


物が詰まりやすく歯茎が腫れる
担当医 町田睦月


処置を先延ばしにしていたむし歯 奥歯のセラミック治療










