症例・治療例紹介
Cases
最新の症例
前歯を引っ込めたい 歯を抜かずにマウスピースで


転んで前歯が欠けてぐらぐらに 歯の神経も死んでしまった


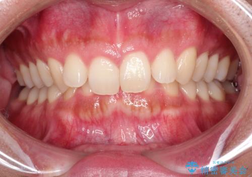
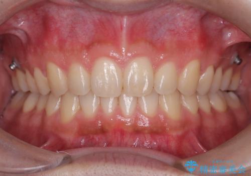
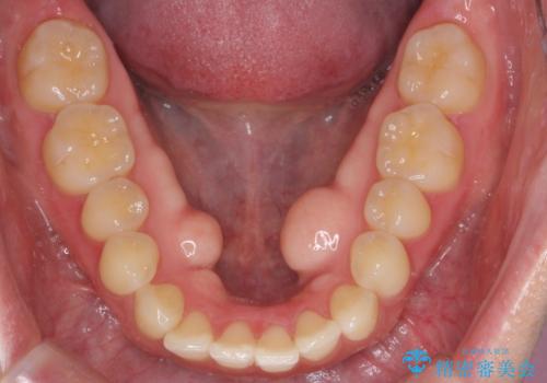
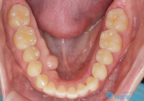
難症例 奥歯がかみ合っていない 歯並び矯正で別人に


【インビザライン】ディープバイトを治したい
担当医 河口智英


奥歯のインプラント 永くもつように


前歯のすきま 生まれつき歯が少ないのを治療


不安定な噛み合わせを改善 マウスピース矯正治療


折れてしまった前歯 オールセラミックによる審美改善
担当医 大元洋佑


[ 舌小帯の形成術 ] 短い舌の改善をしたい
担当医 大元洋佑
![[ 舌小帯の形成術 ] 短い舌の改善をしたいの症例 治療前](https://seimitsushinbi.jp/wp/wp-content/uploads/2024/01/a2134e91acf88c355613990e1bd96304-500x350.jpg?v=1706348748)
![[ 舌小帯の形成術 ] 短い舌の改善をしたいの症例 治療後](https://seimitsushinbi.jp/wp/wp-content/uploads/2024/01/52db9b03a5d3a93572f61dbac2597f07-500x350.jpg?v=1706348765)
変色した歯を改善、セラミック治療
担当医 大元洋佑


[ 精密セラミック治療 ] 前歯の破折 根尖病変
担当医 大元洋佑
![[ 精密セラミック治療 ] 前歯の破折 根尖病変 の症例 治療前](https://seimitsushinbi.jp/wp/wp-content/uploads/2024/04/d00257b606c9200e29dbcf4134534436-500x350.jpg?v=1712302394)
![[ 精密セラミック治療 ] 前歯の破折 根尖病変 の症例 治療後](https://seimitsushinbi.jp/wp/wp-content/uploads/2024/04/67630606a51a194d9b26f9bb002f4099-500x350.jpg?v=1712302423)
インビザラインとワイヤー矯正の併用で綺麗な歯並びに!


前歯のセラミック 神経の再治療から






