症例詳細
Case detail
- 患者様
- 30代男性
- 治療期間
- 6ヶ月
- 治療回数
- 2-5回
- 治療計画
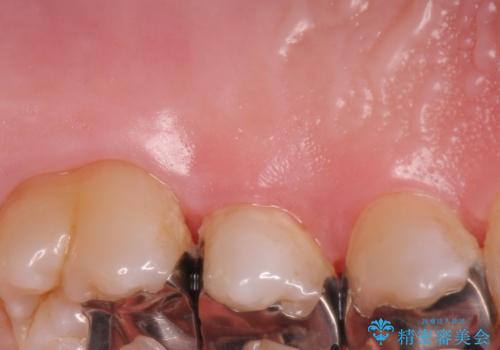
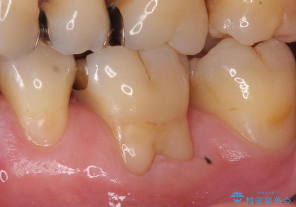
- 奥歯の歯茎が下がっていて(歯肉退縮)歯が染みるとのことで来院された患者様です。
退縮した歯茎に対して移植をすることで、しみる場所を覆う計画です。
- 費用(概算)
- 結合組織移植165,000円(税込み) 静脈内鎮静法55,000円(税込み)費用は治療当時の料金となります
治療について
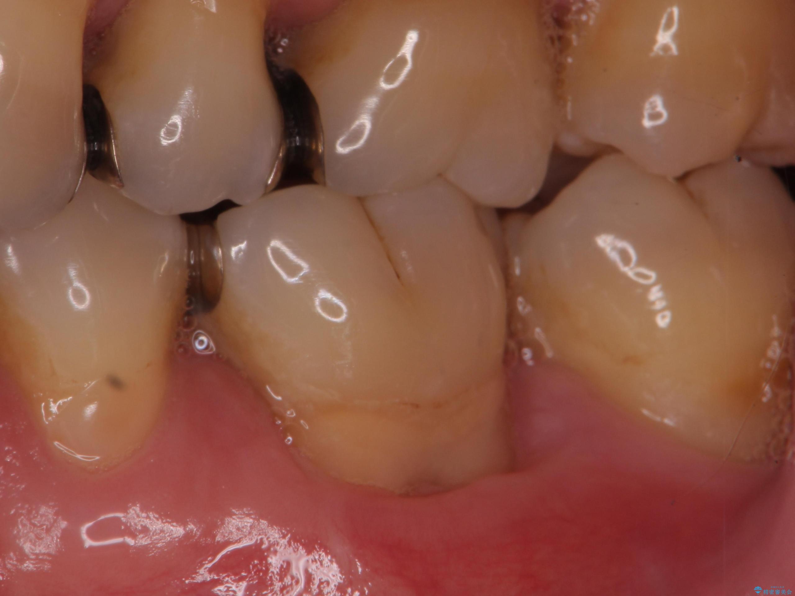
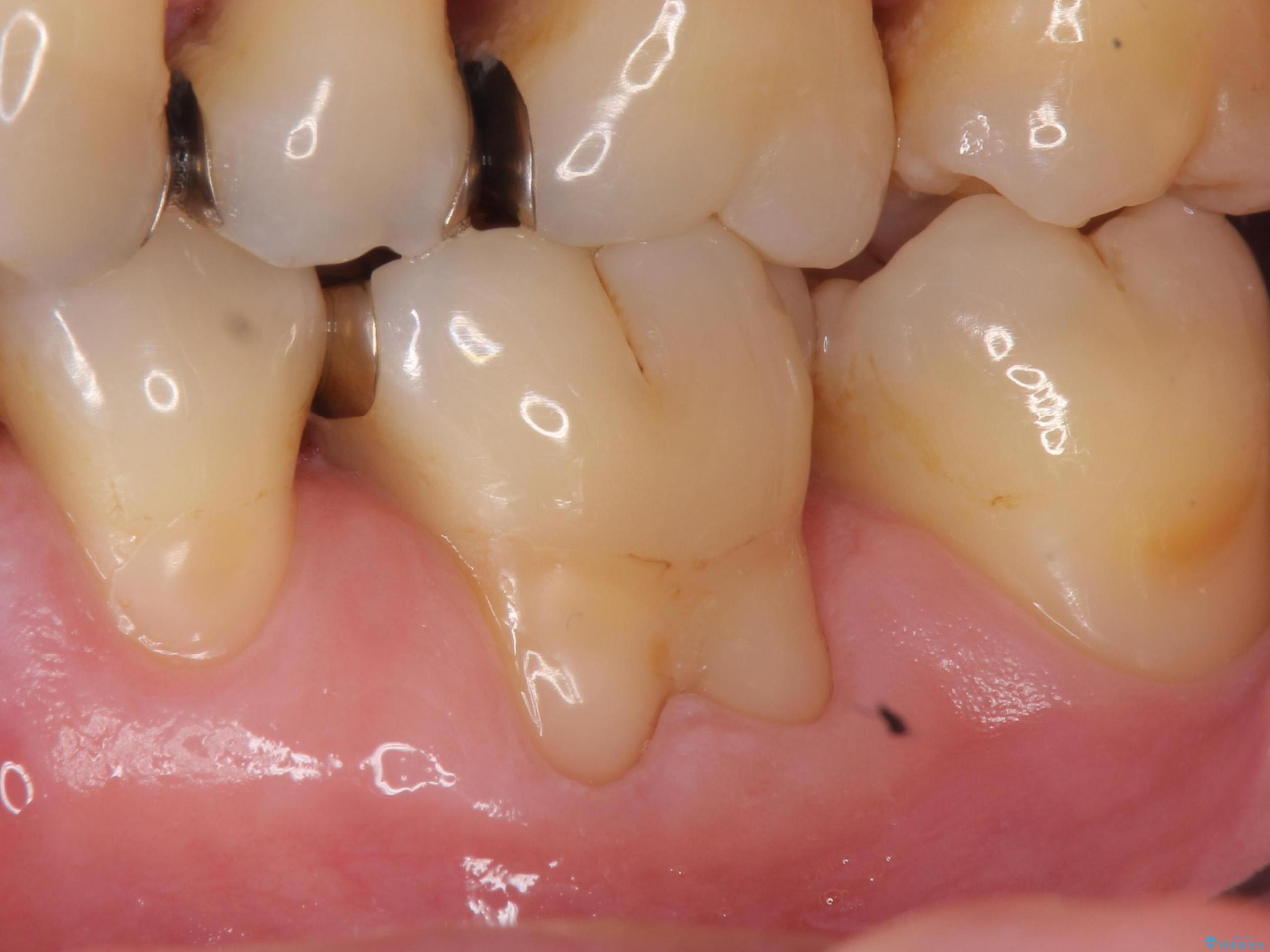
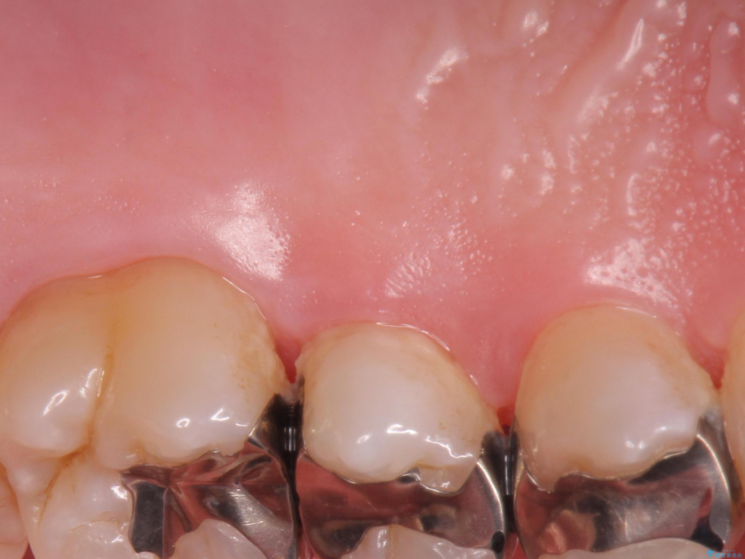
歯根の分岐部よりも根尖側の頬側面が露出している状態でしたが、露出部位を分岐部までに抑えることができました。
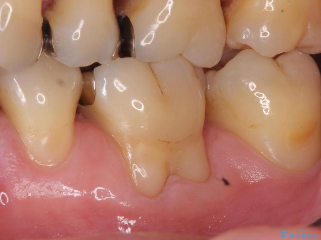
しみる症状も改善され、大変喜んでいただけました。
術後は歯肉が下がらないよう経過を追っていきます。
外科処置の注意事項(リスク・副作用など)
- 外科手術のため、術後に出血、痛みや腫れ、違和感を伴います
- 口腔内の状態によっては適応できないことがあります
当サイトの内容、テキスト、画像等の無断転載、複製、複写、盗用を固く禁じます。









