症例・治療例紹介
Cases
Dr. 藤巻太一朗の症例写真
65ページ目 / 112
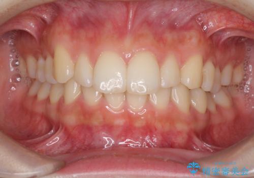
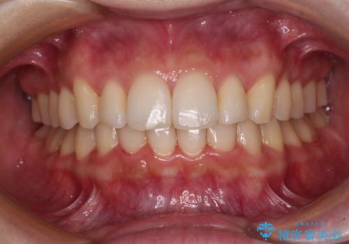
前歯のデコボコをインビザラインでスッキリと仕上げる


出っ歯を治したい ワイヤー装置による抜歯矯正


ふっくらとした口元を改善したい 目立たないワイヤー装置による抜歯矯正
担当医 藤巻太一朗


気になる前歯を治したい 短期間でのインビザライン矯正
担当医 藤巻太一朗


掃除しにくい前歯と閉じにくい口元 目立たないワイヤー装置での抜歯矯正


むし歯で変色した前歯をセラミッククラウンできれいに


前歯のクロスバイトを治したい インビザラインによる矯正治療


気になる八重歯を抜歯矯正で改善 補助装置を用いたインビザライン矯正
担当医 藤巻太一朗


どこで咬んで良いのか分からない インビザラインでの咬み合わせの改善
担当医 藤巻太一朗


できる限り短い期間で終えたい ワイヤー矯正による咬み合わせの改善
担当医 藤巻太一朗


上顎の狭い歯列をインビザラインで拡大
担当医 藤巻太一朗


上下前歯のデコボコをきれいに インビザラインによる矯正治療








