症例・治療例紹介
Cases
Dr. 藤巻太一朗の症例写真
56ページ目 / 112
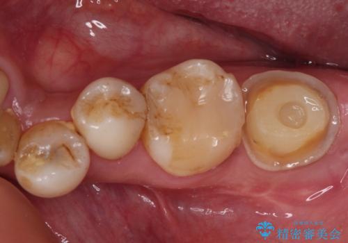
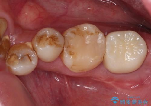
むし歯になりやすい奥歯 補助装置で一気に解決


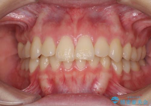
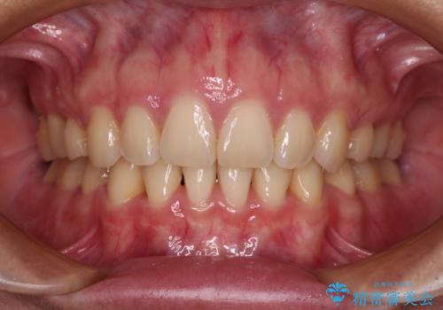
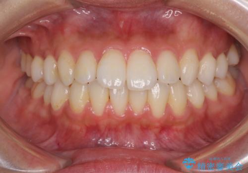
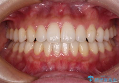
前歯の捻れを改善 インビザラインによる矯正治療
担当医 藤巻太一朗


八重歯を改善 目立たないワイヤー装置での矯正治療
担当医 藤巻太一朗


むし歯や銀歯が気になる 後戻りの再矯正治療とむし歯治療


短期間で口元の突出感を改善 ワイヤー装置での抜歯矯正


気になる残存乳歯と八重歯 ワイヤー矯正を併用したインビザライン治療
担当医 藤巻太一朗


セラミックは無理と言われた奥歯 フルジルコニアクラウンによる補綴治療


事故で抜歯となった前歯 ブリッジやインプラントによる補綴治療


上下前歯が接触しない オープンバイトをインビザラインで改善


カリエール・ディスタライザーとインビザラインを用いた奥歯の咬み合わせ改善


口元の突出感改善 なるべく銀歯を抜歯してワイヤー矯正
担当医 藤巻太一朗


後戻りの再矯正治療と欠損部の補綴治療


欠損と痛み 奥歯のむし歯治療






