症例詳細
Case detail
強い咬合力で生じた亀裂からむし歯に 奥歯のゴールドインレー治療
治療症例の内容
- 診療科目
- 治療カテゴリ
- 担当医
- 藤巻太一朗(ドクタープロフィール)
- 患者様
- 40代男性
- 治療期間
- 1ヶ月
- 治療回数
- 2-5回
- 治療計画
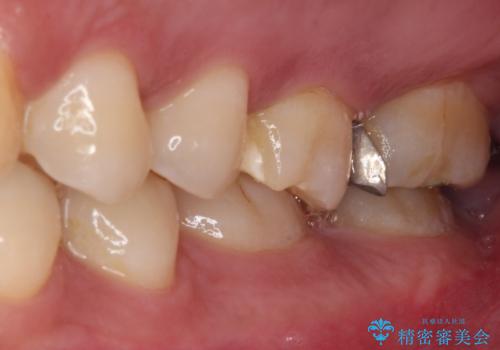
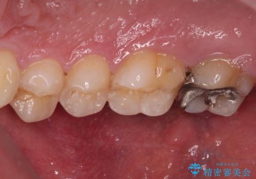
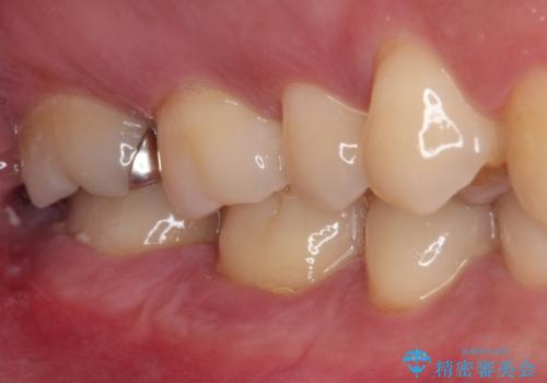
- 近医にて、銀歯の周りの歯が欠けてむし歯のようになっていると言われたとのことで来院された患者様です。
非常に咬合力が強く、銀歯やセラミックのような堅い素材では歯にダメージがかかり、治療を繰り返す可能性が高いと思われたので、ゴールドインレー(白金加金インレー、PGAインレー)にて、治療中の歯と銀歯が装着されている歯を修復治療することとしました。
- 費用(概算)
- 治療費の目安: 20万円(税込)費用は治療当時の料金となります
治療について
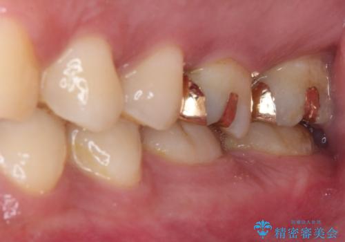
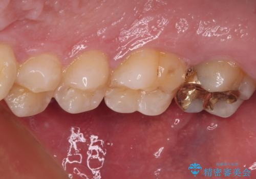
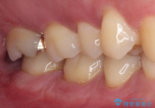
ゴールドインレーは銀歯のインレーやセラミックインレーと比べ、「技工操作の精度が高く、適合が著しく良い」というメリットがあります。特に上の奥歯は歯科医師の操作が行いにくいため、「適合の良さ」は再治療のリスクを防ぐ上でとても重要な要素となります。
上の奥歯は金属色が見えることもないため、審美的な問題は全くありません。
PGA(ゴールド)クラウン、インレーの注意事項(リスク・副作用など)
- インレーおよびクラウンは脱離するリスクがあります
- 形成量はセラミックより少ないですが、歯の形成、修復後に歯に症状が出ることがあります
- 自費診療(保険適用外治療)となります
当サイトの内容、テキスト、画像等の無断転載、複製、複写、盗用を固く禁じます。
















