症例・治療例紹介
Cases
Dr. 藤巻太一朗の症例写真
53ページ目 / 112
気になる八重歯を目立たない装置で改善 ハーフリンガル矯正


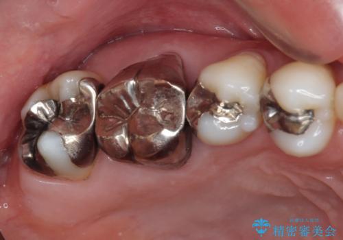
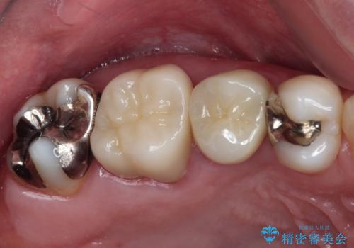
不快感が続く奥歯 外科処置を併用したセラミック補綴治療


インビザラインを用いた上顎の部分矯正
担当医 藤巻太一朗


憧れの白い歯に 全顎セラミック治療


咬み合わせを治したい インビザラインによる矯正治療
担当医 藤巻太一朗


著しい八重歯が気になる インビザラインでの矯正治療


抜歯矯正の後戻りでできたスペース インビザライン矯正とセラミック治療


口がしっかりと閉じられない ワイヤー装置での抜歯矯正で出っ歯を改善
担当医 藤巻太一朗


前歯が折れたついでに歯並びも改善 矯正治療と前歯のセラミック治療


欠損歯列の矯正治療とインプラント治療


抜歯が必要と言われた前歯 根管治療とオールセラミッククラウン


奥歯が痛い セラミッククラウンでの虫歯治療


【モニター】すきっ歯をインビザラインで解消
担当医 藤巻太一朗






