症例詳細
Case detail
不快感が続く奥歯 外科処置を併用したセラミック補綴治療
治療症例の内容
- 診療科目
- 担当医
- 藤巻太一朗(ドクタープロフィール)
- 患者様
- 20代女性
- 治療期間
- 4ヶ月
- 治療回数
- 2-5回
- 治療計画
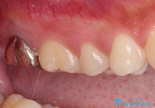
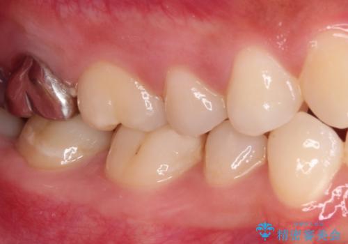
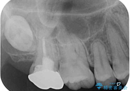
- 奥歯の銀歯に不快感が続くとのことで来院された患者様です。
銀歯の適合が悪く、汚れが溜まりやすくなっており、更には根尖の病変が認められ、咬合時に痛みがありました。
親知らずの存在により、歯肉が歯を覆っているため、親知らずの抜歯により清掃性を改善し、根管治療により痛みを取り除くこととしました。
- 費用(概算)
- 治療費の目安: 28万円(税込)費用は治療当時の料金となります
治療について
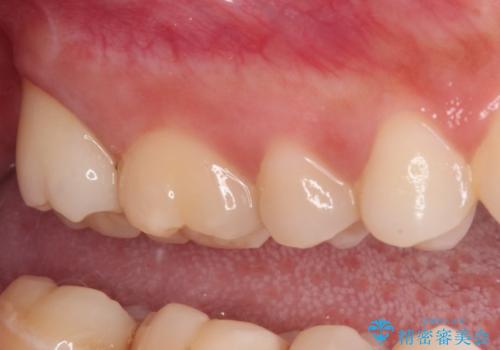
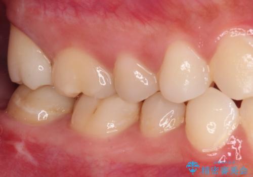
親知らずの抜歯により歯を覆っていた歯肉が切除され、不快感の原因のひとつでもあった歯周ポケットが改善され、奥歯を気にせずに生活できるようになりました。
セラミック治療の注意事項(リスク・副作用など)
- 天然歯を削ります
- 硬い素材は天然歯を傷つけてしまう場合があります
- かみ合わせや歯ぎしりが強すぎる方はセラミックが割れてしまう可能性があります
- 自費診療(保険適用外治療)となります
外科処置の注意事項(リスク・副作用など)
- 外科手術のため、術後に出血、痛みや腫れ、違和感を伴います
- 口腔内の状態によっては適応できないことがあります
当サイトの内容、テキスト、画像等の無断転載、複製、複写、盗用を固く禁じます。








