症例・治療例紹介
Cases
Dr. 藤巻太一朗の症例写真
37ページ目 / 111
デコボコと深い咬み合わせ ワイヤー装置での抜歯矯正
担当医 藤巻太一朗


海外赴任前に治したい 割れてしまった奥歯のオールセラミッククラウン


放置したインプラントとインビザライン 全顎リカバリー治療


むし歯だらけの前歯をオールセラミッククラウンできれいに


【モニター】口が閉じにくい 抜歯矯正で口元を引っ込める


膨らんだ口元 ワイヤー装置での抜歯矯正


口が閉じられない ワイヤー装置での抜歯矯正
担当医 藤巻太一朗


【モニター】前歯のデコボコをインビザラインで改善


【モニター】飛び出た前歯を整えたい ワイヤー矯正治療


インビザラインによる矯正治療と奥歯のインプラント治療


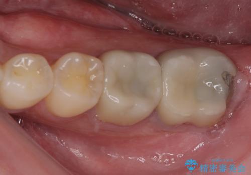
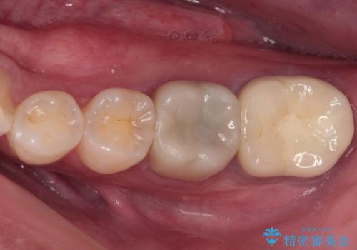
奥歯がズキズキと痛む 奥歯の虫歯治療


治療途中の奥歯と矯正治療の後戻り インビザライン・ライトによる矯正治療


【モニター】下顎前歯のデコボコをインビザラインできれいに
担当医 藤巻太一朗


【モニター】カリエール・ディスタライザーを併用した八重歯のインビザライン矯正




