症例・治療例紹介
Cases
Dr. 藤巻太一朗の症例写真
2ページ目 / 109
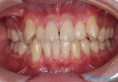
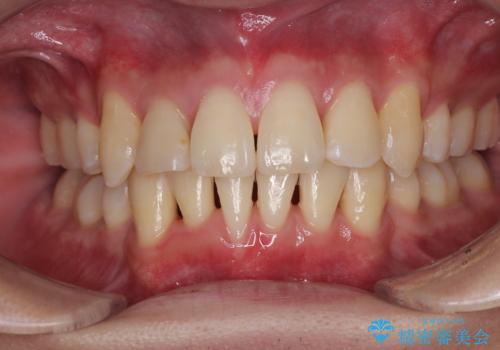
飛び出した前歯を引っ込める ワイヤー装置の非抜歯矯正


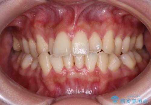
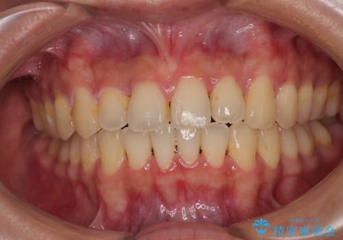
前歯のデコボコをインビザラインで目立たずに改善
担当医 藤巻太一朗


八重歯と重なった前歯 目立たない装置での抜歯矯正
担当医 藤巻太一朗


放置して膿で腫れ上がった奥歯 短期間でのインプラント治療


隠れた前歯が気になる ディープバイトのワイヤー矯正治療


唇が閉じられない ワイヤー装置による抜歯矯正治療


破折してしまった奥歯 抜歯即時埋入で短期間インプラント治療


深い咬み合わせと飛び出した前歯 ワイヤー装置での抜歯矯正治療


デコボコだらけの歯列をきれいに ワイヤー装置での抜歯矯正治療
担当医 藤巻太一朗


予後不良の奥歯 抜歯即時埋入インプラントによる補綴治療


【モニター】食事が取りづらい 極端な開咬をインビザラインで解決
担当医 藤巻太一朗


前歯が隠れるほどのデコボコをインビザライン矯正できれいに整える


前歯のデコボコをワイヤー矯正で綺麗に 保険診療の前歯クラウンもセラミッククラウンで自然に


【モニター】前歯のデコボコをインビザラインで綺麗に
担当医 藤巻太一朗


全体的なデコボコをスッキリと ワイヤー装置での抜歯矯正


