症例・治療例紹介
Cases
Dr. 藤巻太一朗の症例写真
13ページ目 / 111
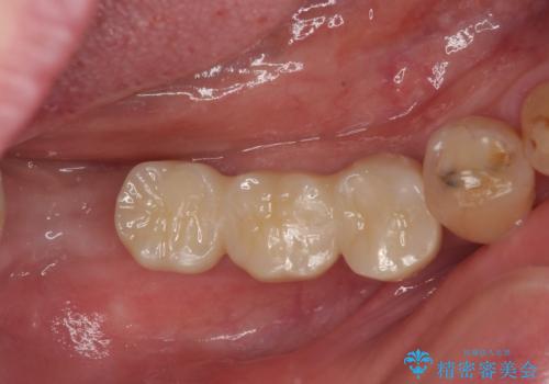
伸び出してきた上顎奥歯 部分矯正を用いた奥歯の補綴治療


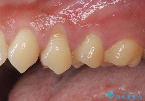
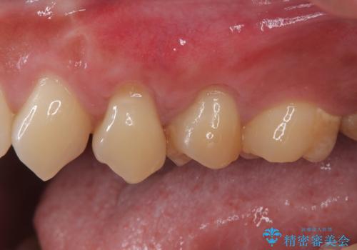
冷たいものがしみる 歯肉移植術で根面被覆
担当医 藤巻太一朗


1DAYインプラント 土台から外れてしまった前歯を短期間で治療


全く目立たないワイヤー矯正 上下裏側矯正


気になる八重歯と変色した前歯 抜歯矯正とセラミッククラウン治療


受け口を治す ワイヤー装置での矯正治療


飛び出ている出っ歯を治したい 目立たない装置での抜歯矯正治療


前に飛び出して目立っている前歯を整える インビザライン矯正治療
担当医 藤巻太一朗


デコボコと銀歯 矯正治療とセラミック治療で綺麗な口元に


前歯のデコボコを治したい ワイヤー装置での非抜歯矯正
担当医 藤巻太一朗


再矯正 開咬に後戻りした歯列をインビザラインで改善
担当医 藤巻太一朗


何度通院しても痛みが引かない 転医による根管治療


目立つ八重歯を非抜歯矯正で整える 目立たないワイヤー矯正
担当医 藤巻太一朗






