症例・治療例紹介
Cases
Dr. 藤巻太一朗の症例写真
11ページ目 / 111
深い咬み合わせと前歯のデコボコ ワイヤー装置での抜歯矯正


首の皮一枚で繋がっている前歯 1DAYインプラントでスムーズに治療


【モニター】デコボコ前歯を治したい ワイヤー装置での抜歯矯正治療


自転車で転んで前歯を損傷 前歯のオールセラミッククラウン


前歯のデコボコとクロスバイト ワイヤー装置での抜歯矯正
担当医 藤巻太一朗


上下の八重歯とクロスバイト ワイヤー装置での抜歯矯正


八重歯と上顎前突 ワイヤー装置での抜歯矯正


前歯のクロスバイト インビザラインによる矯正治療


インビザラインによる矯正治療と奥歯のインプラント治療


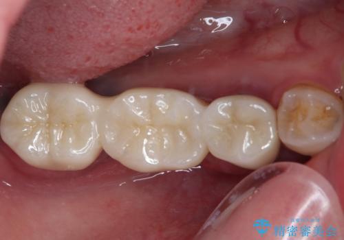
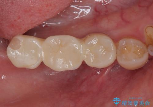
痛みを感じる上顎大臼歯 ゴールドクラウンの補綴治療


放置した奥歯 部分矯正を併用したインプラント補綴治療










