症例・治療例紹介
Cases
Dr. 大元洋佑の症例写真
7ページ目 / 67
奥歯でしっかり噛める、インプラント治療


[ 社会人の矯正治療 ] 仕事をしながらでも治療しやすい、マウスピース矯正
担当医 大元洋佑
![[ 社会人の矯正治療 ] 仕事をしながらでも治療しやすい、マウスピース矯正の症例 治療前](https://seimitsushinbi.jp/wp/wp-content/uploads/2025/02/IMG_3012-500x350.jpg?v=1740124592)
![[ 社会人の矯正治療 ] 仕事をしながらでも治療しやすい、マウスピース矯正の症例 治療後](https://seimitsushinbi.jp/wp/wp-content/uploads/2025/02/d62ebcf4699c90efb9ffd5ed659b7480-500x350.jpg?v=1740124568)
汚れの溜まりやすい銀歯を精度の高いセラミック治療で改善


前歯のがたつきをすっきり マウスピース矯正
担当医 大元洋佑


[ 審美歯科 ] 前歯セラミック治療の再治療
担当医 大元洋佑
![[ 審美歯科 ] 前歯セラミック治療の再治療の症例 治療前](https://seimitsushinbi.jp/wp/wp-content/uploads/2025/02/75321d6ba3daff4b7b0dad4b41050d2a-500x350.jpg?v=1739351948)
![[ 審美歯科 ] 前歯セラミック治療の再治療の症例 治療後](https://seimitsushinbi.jp/wp/wp-content/uploads/2025/02/072789f35cbfa80728bff15f84799af9-500x350.jpg?v=1739351952)
突き出た前歯の改善!マウスピースで再矯正


前歯のねじれを治したい マウスピース矯正治療


食いしばりが強い 歯周病全顎治療
担当医 大元洋佑


滑舌の改善 舌小帯の形成術
担当医 大元洋佑


虫歯・噛み合わせ・インプラント、全顎総合治療
担当医 大元洋佑


[ 乳歯の残存 ] 前歯のインプラント治療
![[ 乳歯の残存 ] 前歯のインプラント治療の症例 治療前](https://seimitsushinbi.jp/wp/wp-content/uploads/2025/01/56e81c0e80b6afc81f4533415a35e537-500x350.jpg?v=1737944679)
![[ 乳歯の残存 ] 前歯のインプラント治療の症例 治療後](https://seimitsushinbi.jp/wp/wp-content/uploads/2025/01/6eaf73b3367bd4d0447513f97e9920b2-500x350.jpg?v=1737944724)
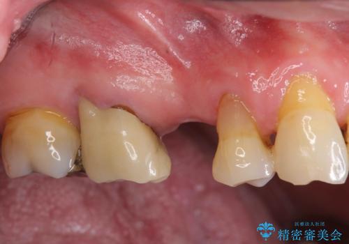
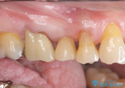
[セラミッククラウン] 根面にできた虫歯治療
担当医 大元洋佑
![[セラミッククラウン] 根面にできた虫歯治療の症例 治療前](https://seimitsushinbi.jp/wp/wp-content/uploads/2025/01/219de76588e33a785e27972e74b82287-500x350.jpg?v=1737355652)
![[セラミッククラウン] 根面にできた虫歯治療の症例 治療後](https://seimitsushinbi.jp/wp/wp-content/uploads/2025/01/b5dd3c419634e991792bcd87dc34d835-500x350.jpg?v=1737355681)
[マウスピース矯正] 海外留学中でも可能な矯正治療
担当医 大元洋佑
![[マウスピース矯正] 海外留学中でも可能な矯正治療の症例 治療前](https://seimitsushinbi.jp/wp/wp-content/uploads/2025/01/C4-1-500x350.jpg?v=1737343006)
![[マウスピース矯正] 海外留学中でも可能な矯正治療の症例 治療後](https://seimitsushinbi.jp/wp/wp-content/uploads/2025/01/IMG_0074-500x350.jpg?v=1737343049)




