症例詳細
Case detail
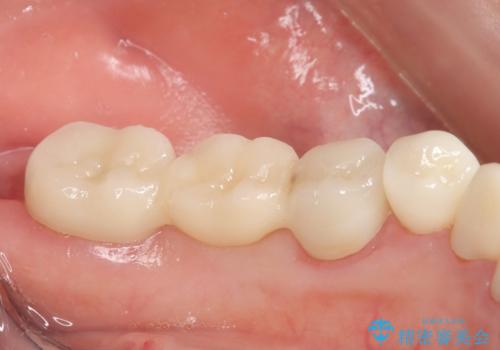
抜歯後の補綴 セラミックブリッジ治療
治療症例の内容
- 診療科目
- 治療カテゴリ
- 担当医
- 大元洋佑(ドクタープロフィール)
- 患者様
- 40代女性
- 治療期間
- 1ヶ月
- 治療回数
- 2-5回
- 治療計画
- 他院で行われた抜歯後の機能回復について相談に来院されました。
インプラント治療、入れ歯と比較し、前後の銀歯や詰め物の問題も一緒に治療のできるブリッジ治療を選択されました。
ブリッジは早期に審美性・機能性を回復できる治療法です。
- 費用(概算)
- 39.6万円(ジルコニアクラウン×3・仮歯×3)費用は治療当時の料金となります
治療について
前後の歯も一緒に審美性を回復することができ、喜んでいただくことができました。
セラミック治療の注意事項(リスク・副作用など)
- 天然歯を削ります
- 硬い素材は天然歯を傷つけてしまう場合があります
- かみ合わせや歯ぎしりが強すぎる方はセラミックが割れてしまう可能性があります
- 自費診療(保険適用外治療)となります
当サイトの内容、テキスト、画像等の無断転載、複製、複写、盗用を固く禁じます。








