症例・治療例紹介
Cases
Dr. 大元洋佑の症例写真
6ページ目 / 67
[セラミック治療] 銀歯だらけの歯を白く
![[セラミック治療] 銀歯だらけの歯を白くの症例 治療前](https://seimitsushinbi.jp/wp/wp-content/uploads/2025/04/41aa13f99c1e9eb93d41b13f1c7d3d3f-500x350.jpg?v=1745217969)
![[セラミック治療] 銀歯だらけの歯を白くの症例 治療後](https://seimitsushinbi.jp/wp/wp-content/uploads/2025/04/fbe966aee3c16464fb0c6af036fe0cf8-500x350.jpg?v=1745218022)
[ マウスピース矯正] 前歯のがたつき 出っ歯に見える歯をきれいに
担当医 大元洋佑
![[ マウスピース矯正] 前歯のがたつき 出っ歯に見える歯をきれいに の症例 治療前](https://seimitsushinbi.jp/wp/wp-content/uploads/2025/04/IMG_0123-500x350.jpg?v=1744960747)
![[ マウスピース矯正] 前歯のがたつき 出っ歯に見える歯をきれいに の症例 治療後](https://seimitsushinbi.jp/wp/wp-content/uploads/2025/04/a5c1eab0aff12598c7b5c9fb710c2648-500x350.jpg?v=1744960670)
歯冠長延長術・骨隆起除去を行った、スペースの少ないセラミック治療
担当医 大元洋佑


銀歯をゼロに! 短期間で行うメタルフリー治療


がちゃがちゃした前歯をきれいにしたい


奥に引っ込んでいる前歯を並べたい 矯正治療とセラミック治療


銀歯を白くしたい セラミック治療
担当医 大元洋佑


虫歯だらけの歯を治療したい


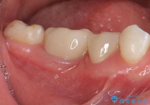
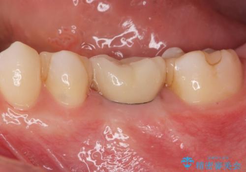
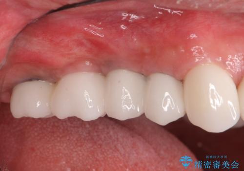
歯ブラシのしやすい環境を整えるインプラント治療


[ 非抜歯矯正 ] 歯を抜かずに出っ歯の治療
![[ 非抜歯矯正 ] 歯を抜かずに出っ歯の治療の症例 治療前](https://seimitsushinbi.jp/wp/wp-content/uploads/2025/03/IMG_6660-500x350.jpg?v=1741945892)
![[ 非抜歯矯正 ] 歯を抜かずに出っ歯の治療の症例 治療後](https://seimitsushinbi.jp/wp/wp-content/uploads/2025/03/IMG_7513-500x350.jpg?v=1741945816)
金属色の見える前歯 オールセラミックで審美治療
担当医 大元洋佑


歯周ポケットの除去と再補綴治療


[メタルフリー] 虫歯・銀歯だらけの口腔内を全顎治療
![[メタルフリー] 虫歯・銀歯だらけの口腔内を全顎治療の症例 治療前](https://seimitsushinbi.jp/wp/wp-content/uploads/2025/03/e26a9887bc6905a2f0f51f5772b5ac9c-500x350.jpg?v=1741918285)
![[メタルフリー] 虫歯・銀歯だらけの口腔内を全顎治療の症例 治療後](https://seimitsushinbi.jp/wp/wp-content/uploads/2025/03/530cf6cca6451bc106a9fb69dd58908a-500x350.jpg?v=1741918343)




