症例詳細
Case detail
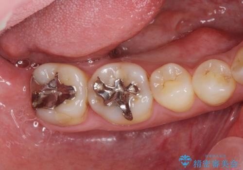
[セラミック治療] 銀歯だらけの歯を白く
治療症例の内容
- 診療科目
- 治療カテゴリ
- 担当医
- 大元洋佑(ドクタープロフィール)
- 患者様
- 30代男性
- 治療期間
- 4ヶ月
- 治療回数
- 10-30回
- 治療計画
- 銀歯だらけで見た目の気になる歯を白くしたい。と希望され来院されました。
銀歯の下には虫歯の再発や歯石の沈着、さまざまの問題が散見されましたが一つづつ丁寧に問題を解決し、
長期的な予後の見込める治療を行っていきます。
- 費用(概算)
- 79.2万円(ジルコニアクラウン×6・仮歯×6)費用は治療当時の料金となります
治療について
ただ白いセラミックを装着するのではなく、虫歯をきっちりと取り切り精度の高いクラウンを製作することで再度の虫歯の発生確率を抑えることができます。
セラミック治療の注意事項(リスク・副作用など)
- 天然歯を削ります
- 硬い素材は天然歯を傷つけてしまう場合があります
- かみ合わせや歯ぎしりが強すぎる方はセラミックが割れてしまう可能性があります
- 自費診療(保険適用外治療)となります
当サイトの内容、テキスト、画像等の無断転載、複製、複写、盗用を固く禁じます。

![[セラミック治療] 銀歯だらけの歯を白くの治療前](https://seimitsushinbi.jp/wp/wp-content/uploads/2025/04/41aa13f99c1e9eb93d41b13f1c7d3d3f-500x350.jpg?v=1745217969)
![[セラミック治療] 銀歯だらけの歯を白くの治療後](https://seimitsushinbi.jp/wp/wp-content/uploads/2025/04/fbe966aee3c16464fb0c6af036fe0cf8-500x350.jpg?v=1745218022)
![[セラミック治療] 銀歯だらけの歯を白くの治療前](https://seimitsushinbi.jp/wp/wp-content/uploads/2025/04/CI11-500x350.jpg?v=1745218133)
![[セラミック治療] 銀歯だらけの歯を白くの治療後](https://seimitsushinbi.jp/wp/wp-content/uploads/2025/04/0528d46ae05c0969f267845fc11fbdbc-500x350.jpg?v=1745218146)
![[セラミック治療] 銀歯だらけの歯を白くの治療前](https://seimitsushinbi.jp/wp/wp-content/uploads/2025/04/f424487be14d60b78f912ce50962500c-500x350.jpg?v=1745217962)
![[セラミック治療] 銀歯だらけの歯を白くの治療中](https://seimitsushinbi.jp/wp/wp-content/uploads/2025/04/126a59c4a6d2d5e9e35a28565b195b9a-500x350.jpg?v=1745217997)
![[セラミック治療] 銀歯だらけの歯を白くの治療後](https://seimitsushinbi.jp/wp/wp-content/uploads/2025/04/576445a49aec838c2560c11473e2ddfd-500x350.jpg?v=1745218007)
![[セラミック治療] 銀歯だらけの歯を白くの治療前](https://seimitsushinbi.jp/wp/wp-content/uploads/2025/04/d2d97719bccfa7667ee82ccdbaa54550-500x350.jpg?v=1745217990)
![[セラミック治療] 銀歯だらけの歯を白くの治療後](https://seimitsushinbi.jp/wp/wp-content/uploads/2025/04/2dd8d4f4397d2d2918796ffe9e9d3c07-500x350.jpg?v=1745218675)
![[セラミック治療] 銀歯だらけの歯を白くの治療前](https://seimitsushinbi.jp/wp/wp-content/uploads/2025/04/59ebc139ce89664497886d4235595414-500x350.jpg?v=1745217953)
![[セラミック治療] 銀歯だらけの歯を白くの治療後](https://seimitsushinbi.jp/wp/wp-content/uploads/2025/04/468a18390178b3fe72a1fd9c2bd64c2e-500x350.jpg?v=1745217998)