症例・治療例紹介
Cases
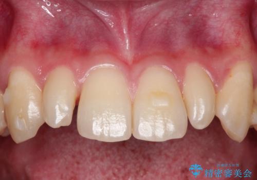
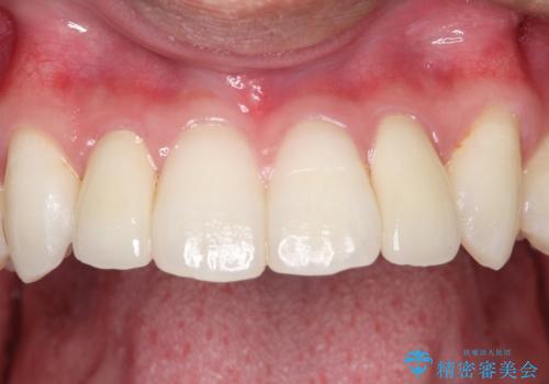
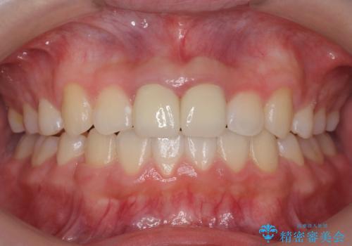
総合歯科治療 → 矯正歯科治療&セラミック治療
9ページ目 / 16
前歯がグラグラする 他院で、もうできることがないと言われた


インビザラインにて矯正治療後の前歯のセラミッククラウン治療


前歯の審美歯科治療 オールセラミッククラウンと部分矯正


八重歯の矯正+歯のないところにインプラント


矮小歯(通常より小さな歯)をオールセラミックを装着して自然な歯へ


口ゴボでお悩みの方必見! 不自然なセラミックをやり直す矯正 セラミックだけでは、口元は下がりません。


この際全てをしっかりと治療したい 総合歯科治療
担当医 藤巻太一朗


歯が折れた どうしても抜きたくない 歯の牽引で保存可能に


インビザライン矯正とインプラント治療と 総合歯科治療


前歯の歯並びが気になる マウスピース矯正 30代女性


小さいころに前歯を折った がたがたの矯正+変色した前歯をセラミックに


奥に引っ込んでいる歯をセラミックでかぶせたい 補綴前矯正 50代男性


前歯の歯並びとクラウンを改善 インビザラインとオールセラミック


前歯がぐらぐらする 抜歯→ブリッジへ


前歯のすきま 矯正治療とセラミックで小さな歯を形良く


セラミック治療の注意事項(リスク・副作用など)
- 天然歯を削ります
- 硬い素材は天然歯を傷つけてしまう場合があります
- かみ合わせや歯ぎしりが強すぎる方はセラミックが割れてしまう可能性があります
- 自費診療(保険適用外治療)となります
ワイヤー矯正歯科治療の注意事項(リスク・副作用など)
- 治療中は違和感や痛みが起こることがあります
- 症状により、抜歯が必要な場合があります
- 治療中は歯磨きがしにくくなるため、虫歯や歯周病になりやすくなります
- 矯正治療後の保定が不十分だと後戻り(元の位置に戻ろうとする動き)をします
- 自費診療(保険適用外)となります
マウスピース矯正の注意事項(リスク・副作用など)
- 口腔内・歯並びの状態によっては対応できない場合があります
- マウスピース型矯正装置の長時間装着が必須です
- 治療計画通りに進めるためには、患者様の意志が重要になります
- 矯正治療後の保定が不十分だと後戻り(元の位置に戻ろうとする動き)をします
- 自費診療(保険適用外)となります
