症例・治療例紹介
Cases
総合歯科治療 → 歯周病治療&セラミック治療
2ページ目 / 13
セラミック・インプラント治療を含む包括歯周病治療


歯周外科を行い歯ぐきの整備を行うセラミック治療


孫から口臭を指摘され来院、全顎治療で噛み合わせ、見た目、口臭全て劇的改善!


[ 歯冠長延長術 ] クラウンスペースの確保を行い抜歯を回避
![[ 歯冠長延長術 ] クラウンスペースの確保を行い抜歯を回避の症例 治療前](https://seimitsushinbi.jp/wp/wp-content/uploads/2024/08/70e2e357470ac1fd6c1489f5d90a7b82-500x350.jpg?v=1724393985)
![[ 歯冠長延長術 ] クラウンスペースの確保を行い抜歯を回避の症例 治療後](https://seimitsushinbi.jp/wp/wp-content/uploads/2024/08/55bc634e756d10cce362016c1293fafc-500x350.jpg?v=1724393990)
奥歯の高さがない 20代で入れ歯もインプラントも難しい ブリッジで歯を残す治療


インプラント・ブリッジ補綴を含む、歯周病全顎治療
担当医 大元洋佑


歯の高さがない 被せ物のやりなおし


[ 歯周病・矯正・セラミック治療 ] 1つの医院で行う包括的歯科治療
担当医 大元洋佑
![[ 歯周病・矯正・セラミック治療 ] 1つの医院で行う包括的歯科治療の症例 治療前](https://seimitsushinbi.jp/wp/wp-content/uploads/2023/10/IMG_6364-500x350.jpg?v=1697786419)
![[ 歯周病・矯正・セラミック治療 ] 1つの医院で行う包括的歯科治療の症例 治療後](https://seimitsushinbi.jp/wp/wp-content/uploads/2023/10/90d18252b8dbe1975afad5c7598b2fb5-500x350.jpg?v=1697785801)
前歯をきれいにしたい、セラミック矯正
担当医 吉﨑ゆりな


[ 重度の歯周病 ] 骨の造成を伴う奥歯インプラント治療
![[ 重度の歯周病 ] 骨の造成を伴う奥歯インプラント治療の症例 治療前](https://seimitsushinbi.jp/wp/wp-content/uploads/2023/08/dd050296376ce2223375e4fe7c012da0-500x350.jpg?v=1691032235)
![[ 重度の歯周病 ] 骨の造成を伴う奥歯インプラント治療の症例 治療後](https://seimitsushinbi.jp/wp/wp-content/uploads/2023/08/53b97aab07991cb3b8113730db863b4d-500x350.jpg?v=1691032282)
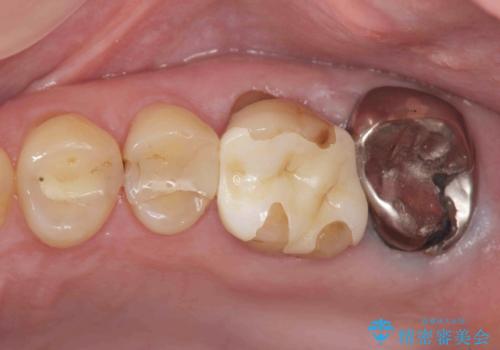
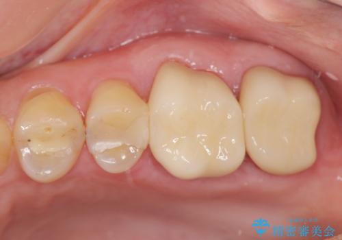
[ 歯肉縁下齲蝕 ] 歯周外科を行った虫歯治療
![[ 歯肉縁下齲蝕 ] 歯周外科を行った虫歯治療の症例 治療前](https://seimitsushinbi.jp/wp/wp-content/uploads/2023/05/a64b0434e936f69092c4868d7fec9b97-500x350.jpg?v=1684994566)
![[ 歯肉縁下齲蝕 ] 歯周外科を行った虫歯治療の症例 治療後](https://seimitsushinbi.jp/wp/wp-content/uploads/2023/05/fa1958073cf4724216bea0bd1890c46a-500x350.jpg?v=1684994581)
奥歯から臭いがする 銀歯下の虫歯再発


[ 重度歯周病 ] 骨造成・インプラント治療による咬合機能の回復
![[ 重度歯周病 ] 骨造成・インプラント治療による咬合機能の回復の症例 治療前](https://seimitsushinbi.jp/wp/wp-content/uploads/2023/03/14ce77237eb07b97238f044a087dfe7d-500x350.jpg?v=1678759178)
![[ 重度歯周病 ] 骨造成・インプラント治療による咬合機能の回復の症例 治療後](https://seimitsushinbi.jp/wp/wp-content/uploads/2023/03/653ce5328b3ab59b9ab143b906ecba0e-500x350.jpg?v=1678759187)
セラミック治療の注意事項(リスク・副作用など)
- 天然歯を削ります
- 硬い素材は天然歯を傷つけてしまう場合があります
- かみ合わせや歯ぎしりが強すぎる方はセラミックが割れてしまう可能性があります
- 自費診療(保険適用外治療)となります
歯周病治療の注意事項(リスク・副作用など)
- 外科手術のため、術後に痛みや腫れ、違和感を伴います
- 歯周組織再生治療は患者様の状態によって術後の経過が異なります(見た目が改善しない場合もあります)
- 歯周組織再生治療は自費診療(保険適用外)となります




