症例・治療例紹介
Cases
歯周病治療 → 歯周外科治療
6ページ目 / 12
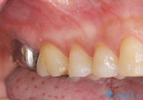
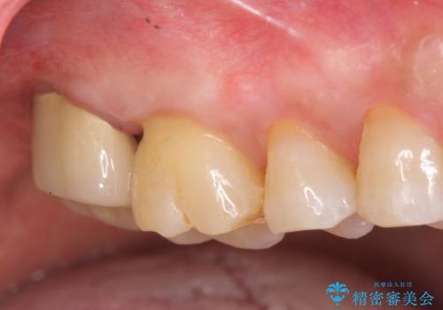
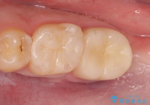
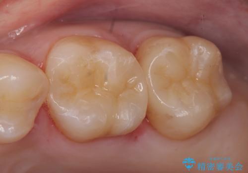
歯周外科処置を併用した奥歯の補綴治療


オールセラミッククラウン 歯茎より深い虫歯の治療 神経が死んでる歯の治療


受け口 親知らずを取り込む矯正治療


セラミックインレー 下の一番奥歯 歯ぐきの厚みを減らしてぴったりに入れます(ディスタルウェッジ+骨外科)


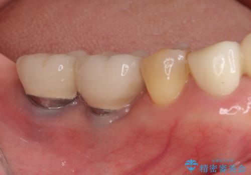
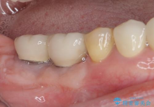
[歯周病治療] 歯周補綴 インプラント補綴
![[歯周病治療] 歯周補綴 インプラント補綴の症例 治療前](https://seimitsushinbi.jp/wp/wp-content/uploads/2020/03/067ed603e15bc4c623e950ffbd6c0829-500x350.jpg?v=1585493851)
![[歯周病治療] 歯周補綴 インプラント補綴の症例 治療後](https://seimitsushinbi.jp/wp/wp-content/uploads/2020/03/93a1bf8bd8e0f11621dbb40f6f1d795c-500x350.jpg?v=1585494318)
オールセラミッククラウン 奥歯の虫歯・深いポケットの除去


歯髄方向 歯肉方向へと深い 2種類の大きな虫歯


放置してしまった深い虫歯の治療


歯冠長延長術を併用した審美的セラミック治療


虫歯だらけ、歯周病 崩壊した口腔の再建 フルマウスリコンストラクション


一番奥歯の後ろに虫歯が 処置の難しい虫歯


前歯の低クオリティな治療の実態 妥協無い治療で根本からやり治す


歯周外科・根管治療による長期予後を期待する奥歯の治療


歯周病治療の注意事項(リスク・副作用など)
- 外科手術のため、術後に痛みや腫れ、違和感を伴います
- 歯周組織再生治療は患者様の状態によって術後の経過が異なります(見た目が改善しない場合もあります)
- 歯周組織再生治療は自費診療(保険適用外)となります




