症例・治療例紹介
Cases
歯周病治療 → 歯周ポケットの除去
3ページ目 / 7
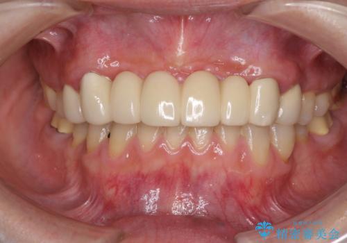
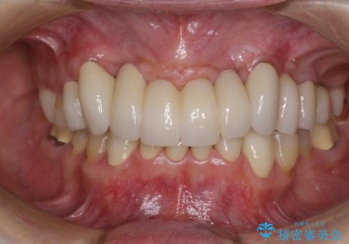
銀歯や入れ歯で汚い歯をきれいにしたい 総合歯科治療
担当医 藤巻太一朗


歯並びや奥歯の痛み 色々と治したい 総合歯科診療
担当医 藤巻太一朗


歯がぐらぐら 再生療法で抜かずに残す 50代男性


歯周病を治す 再生療法 50代男性


歯列不正と歯周病 総合歯科治療による全顎治療
担当医 藤巻太一朗


骨を再生させて歯周病を治す 再生療法 50代男性


出血が止まらない インプラント補綴を用いた歯周病治療


歯肉が腫れて出血する 奥歯の歯周病治療


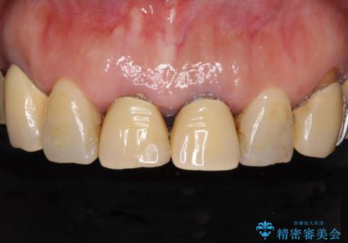
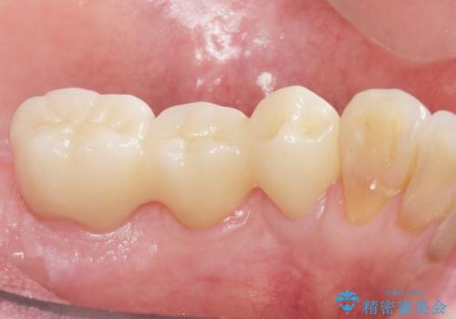
[MTMを行い歯の神経を保存] 歯周補綴ブリッジ
![[MTMを行い歯の神経を保存] 歯周補綴ブリッジの症例 治療前](https://seimitsushinbi.jp/wp/wp-content/uploads/2021/04/21310c2f37874ac2f2ba9939da2fee68-500x350.jpg?v=1618452125)
![[MTMを行い歯の神経を保存] 歯周補綴ブリッジの症例 治療後](https://seimitsushinbi.jp/wp/wp-content/uploads/2021/04/75330aaa19199048b71f28658fe46b5b-1-500x350.jpg?v=1618452202)
気になる部分を全て治療 総合歯科治療で口腔内環境改善
担当医 藤巻太一朗


歯列不正と歯周病 総合歯科治療による全顎治療
担当医 藤巻太一朗


歯周病改善のための総合歯科治療
担当医 藤巻太一朗


歯周病治療の注意事項(リスク・副作用など)
- 外科手術のため、術後に痛みや腫れ、違和感を伴います
- 歯周組織再生治療は患者様の状態によって術後の経過が異なります(見た目が改善しない場合もあります)
- 歯周組織再生治療は自費診療(保険適用外)となります






