症例・治療例紹介
Cases
その他 → 舌小帯・上唇小帯切除
3ページ目 / 5
滑舌の改善 舌小帯の形成術
担当医 大元洋佑


滑舌を改善! 舌小帯の形成術
担当医 大元洋佑


舌小帯切除
担当医 青山卓弘


滑舌が気になる 舌小帯の切除
担当医 岡田康成


滑舌の改善をしたい
担当医 大元洋佑


滑舌を改善したい 舌小帯の形成術
担当医 大元洋佑


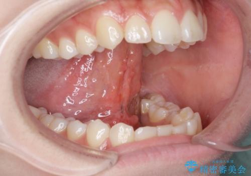
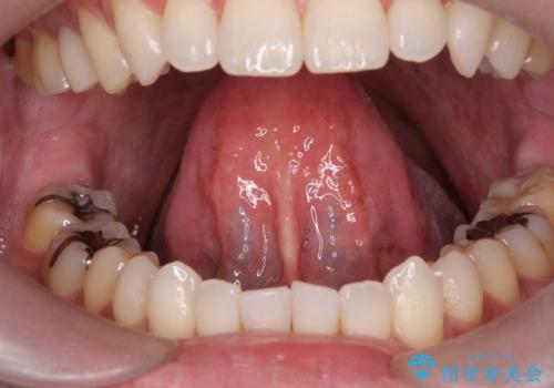
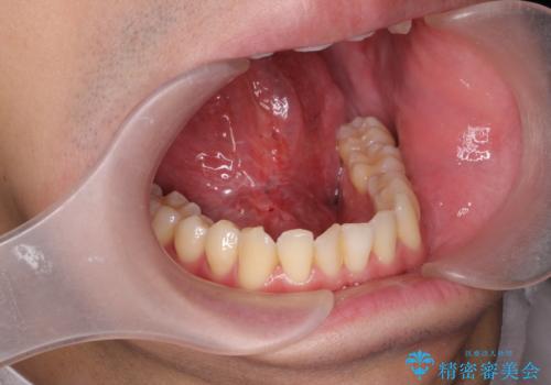
[ 舌小帯形成術 ] 滑舌を良くしたい
担当医 大元洋佑
![[ 舌小帯形成術 ] 滑舌を良くしたいの症例 治療前](https://seimitsushinbi.jp/wp/wp-content/uploads/2023/01/87fb02ce145a6aebc116d6985f9b25ec-500x350.jpg?v=1674797410)
![[ 舌小帯形成術 ] 滑舌を良くしたいの症例 治療後](https://seimitsushinbi.jp/wp/wp-content/uploads/2023/01/3f6c48743aa87970ff6032bdd964ebf5-500x350.jpg?v=1674797425)
舌小帯の切除
担当医 岡田康成


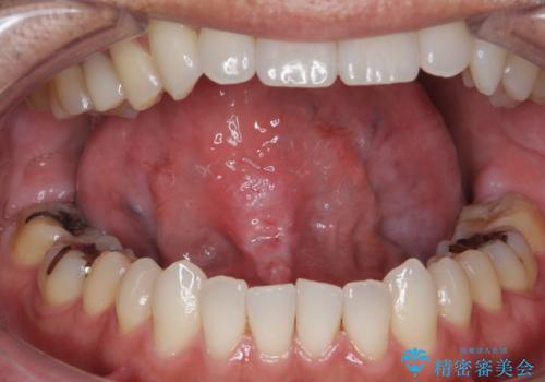
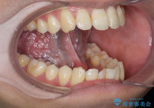
[ 舌小帯の形成 ] 滑舌をよくしたい
担当医 大元洋佑
![[ 舌小帯の形成 ] 滑舌をよくしたいの症例 治療前](https://seimitsushinbi.jp/wp/wp-content/uploads/2022/12/5cdcfc1a4eed7a564e6ef2de1f59091b-500x350.jpg?v=1670478791)
![[ 舌小帯の形成 ] 滑舌をよくしたいの症例 治療後](https://seimitsushinbi.jp/wp/wp-content/uploads/2022/12/4630285fe87b8df64f4a14c19c3679ab-500x350.jpg?v=1670478809)
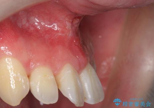
[ 舌小帯の形成 ] 滑舌を改善したい
担当医 大元洋佑
![[ 舌小帯の形成 ] 滑舌を改善したいの症例 治療前](https://seimitsushinbi.jp/wp/wp-content/uploads/2022/10/fa797540f242dace21c05a8161580df4-500x350.jpg?v=1665555891)
![[ 舌小帯の形成 ] 滑舌を改善したいの症例 治療後](https://seimitsushinbi.jp/wp/wp-content/uploads/2022/10/45c8c51b664db205e71949fb1e2ec432-500x350.jpg?v=1665555859)
上唇小帯の切除
担当医 岡田康成


滑舌の悪さを 舌小帯形成術 で改善
担当医 岡田康成


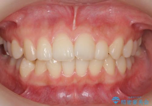
[ 舌小帯の形成 ] 滑舌の改善をしたい
担当医 大元洋佑
![[ 舌小帯の形成 ] 滑舌の改善をしたいの症例 治療前](https://seimitsushinbi.jp/wp/wp-content/uploads/2022/09/459b5062738498b637cd13998f29068e-500x350.jpg?v=1662343519)
![[ 舌小帯の形成 ] 滑舌の改善をしたいの症例 治療後](https://seimitsushinbi.jp/wp/wp-content/uploads/2022/09/2f7669bb326f4f515756a383a61feb88-500x350.jpg?v=1662343538)
上唇小帯切除
担当医 青山卓弘


[ 舌小帯形成術 ]舌が短い 小手術での改善
担当医 大元洋佑
![[ 舌小帯形成術 ]舌が短い 小手術での改善の症例 治療前](https://seimitsushinbi.jp/wp/wp-content/uploads/2022/06/8d267ea0a8ffaaf134998cbb95ac3e27-500x350.jpg?v=1654757892)
![[ 舌小帯形成術 ]舌が短い 小手術での改善の症例 治療後](https://seimitsushinbi.jp/wp/wp-content/uploads/2022/06/IMG_9990-2-500x350.jpg?v=1654757908)
外科処置の注意事項(リスク・副作用など)
- 外科手術のため、術後に出血、痛みや腫れ、違和感を伴います
- 口腔内の状態によっては適応できないことがあります
