症例詳細
Case detail
滑舌を改善したい 舌小帯の形成術
治療症例の内容
- 診療科目
- 治療カテゴリ
- 担当医
- 大元洋佑(ドクタープロフィール)
- 患者様
- 40代女性
- 治療期間
- 1日
- 治療回数
- 1回
- 治療計画
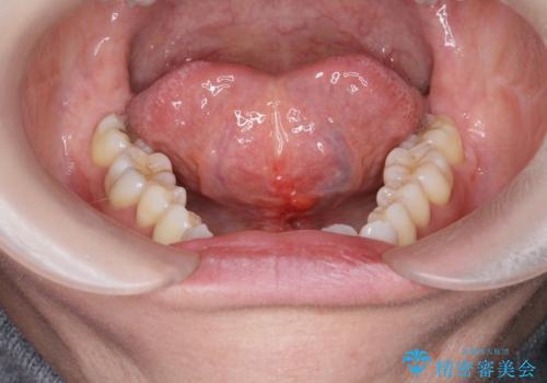
- 長年気になっていた、滑舌の問題を改善すべく舌小帯の形成手術を希望され来院されました。
舌の小帯が長く、舌の動きを制限しているため手術により改善を計画します。
- 費用(概算)
- 3.3万円費用は治療当時の料金となります
治療について
手術は5分程度で終わり、術後の大きな痛みも訴えられる方はほとんどいません。
外科処置の注意事項(リスク・副作用など)
- 外科手術のため、術後に出血、痛みや腫れ、違和感を伴います
- 口腔内の状態によっては適応できないことがあります
当サイトの内容、テキスト、画像等の無断転載、複製、複写、盗用を固く禁じます。






