症例詳細
Case detail
滑舌の改善をしたい
治療症例の内容
- 診療科目
- 治療カテゴリ
- 担当医
- 大元洋佑(ドクタープロフィール)
- 患者様
- 20代男性
- 治療期間
- 1日
- 治療回数
- 1回
- 治療計画
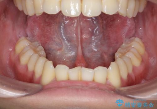
- 舌の動きが舌小帯により制限され、滑舌の改善を求めて来院されました。
形成手術を行うことで、舌の動きをより自由に行うことが期待できます。
- 費用(概算)
- 3.3万円費用は治療当時の料金となります
治療について
発音しづらかった、サ行・タ行・ナ行の音が改善され喜んでいただくことができました。
外科処置の注意事項(リスク・副作用など)
- 外科手術のため、術後に出血、痛みや腫れ、違和感を伴います
- 口腔内の状態によっては適応できないことがあります
当サイトの内容、テキスト、画像等の無断転載、複製、複写、盗用を固く禁じます。






