症例詳細
Case detail
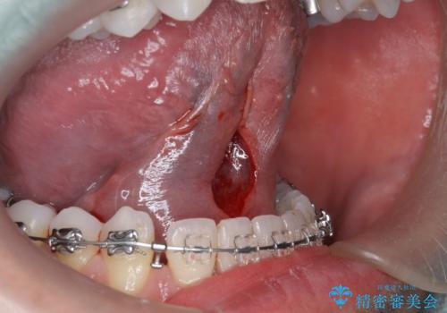
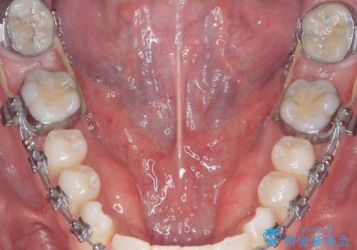
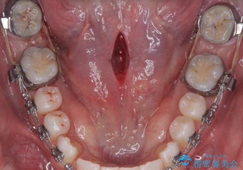
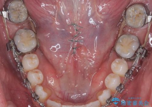
舌小帯の切除
治療症例の内容
- 診療科目
- 治療カテゴリ
- 担当医
- 岡田康成(ドクタープロフィール)
- 患者様
- 30代男性
- 治療期間
- 1日
- 治療回数
- 1回
- 治療計画
- 他院で矯正治療をしているが、滑舌も気になるため舌小帯の切除を希望し来院されました。
- 費用(概算)
- 33,000円費用は治療当時の料金となります
治療について
手術自体は当日での処置が可能です。
抜糸は1週間から2週間の期間を置いた後治癒を確認してから行います。
外科処置の注意事項(リスク・副作用など)
- 外科手術のため、術後に出血、痛みや腫れ、違和感を伴います
- 口腔内の状態によっては適応できないことがあります
当サイトの内容、テキスト、画像等の無断転載、複製、複写、盗用を固く禁じます。








