症例・治療例紹介
Cases
その他 → 入れ歯
3ページ目 / 4
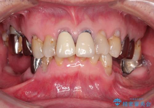
奥歯がなくてかめない 入れ歯とクラウンでの全顎治療


[インプラントオーバーデンチャー] インプラントで奥歯を支える部分床義歯
![[インプラントオーバーデンチャー] インプラントで奥歯を支える部分床義歯の症例 治療前](https://seimitsushinbi.jp/wp/wp-content/uploads/2020/05/79f644293d350fd31fb63c7afa8d4763-500x350.jpg?v=1590579941)
![[インプラントオーバーデンチャー] インプラントで奥歯を支える部分床義歯の症例 治療後](https://seimitsushinbi.jp/wp/wp-content/uploads/2020/05/964966d14f9a29d4be64de2323b493a3-500x350.jpg?v=1590579837)
ノンクラスプデンチャー(金属止め具のない入れ歯)で左側の咬合回復


前歯の入れ歯 金属の見えないノンクラスプデンチャー


インプラントと入れ歯による全顎補綴治療


奥歯で物を噛めるようにしたい 入れ歯による咬合回復


前歯が抜け落ちそう インプラントと入れ歯を用いた全顎治療


歯がボロボロ 低予算で治したい マグネットデンチャー 60代男性


部分矯正による咬合平面の改善 オールセラミッククラウンとノンクラスプデンチャー


金属を使わない入れ歯 ノンクラスプデンチャー 40代男性


入れ歯のつくりかえ 部分入れ歯から総入れ歯へ 70代男性


入れ歯の注意事項(リスク・副作用など)
- ブリッジやインプラントと比較して、色が合いづらい、見た目の違和感があります
 - ブリッジやインプラントと比較して、話しにくい、舌が当たる等の違和感があります
 - 慣れるまで微調整で何度か通って頂くことがあります
 - 就寝時や食後に毎回取り外して、清掃する必要があります
 - 自費診療(保険適用外)となります
 

                      






