症例・治療例紹介
Cases
その他 → 親知らず・埋伏歯の抜歯
2ページ目 / 3
がたつきが強いガチャ歯。埋伏歯抜歯+矯正。すごいところに犬歯が埋まっていたのを抜いてワイヤー矯正治療


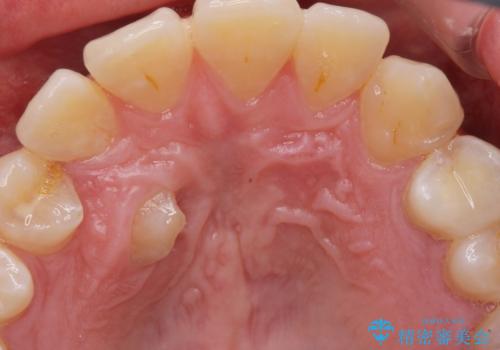
上顎の内側に歯が生えていて気になる。(静脈内鎮静下での抜歯)
担当医 青山卓弘


矯正治療前の親知らず抜歯
担当医 青山卓弘


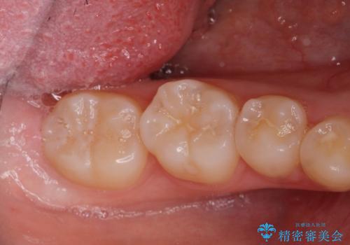
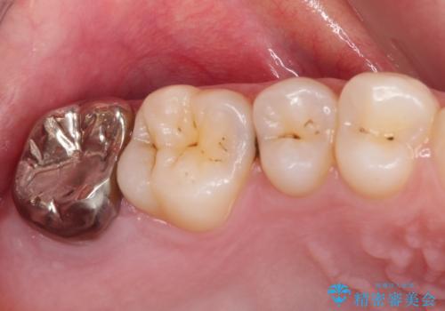
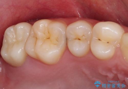
歯ぐきの形を整え、外れにくい被せ物を装着


リラックス麻酔下で行う親知らず抜歯
担当医 大元洋佑


歯の高さを出すための親知らず抜歯と歯肉切除
担当医 岡田康成


親知らず抜歯
担当医 青山卓弘


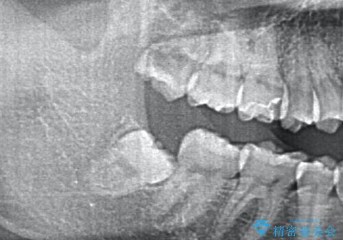
【埋伏智歯と埋伏智歯の過剰歯の抜歯】埋まっている親知らず2本の抜歯
担当医 河野豊嘉


リラックス麻酔 (静脈内鎮静下)での親知らず抜歯
担当医 大元洋佑


親知らずを抜きたい
担当医 岡田康成


親知らず抜歯
担当医 青山卓弘


矯正前の親知らず抜歯(埋伏)
担当医 河野豊嘉


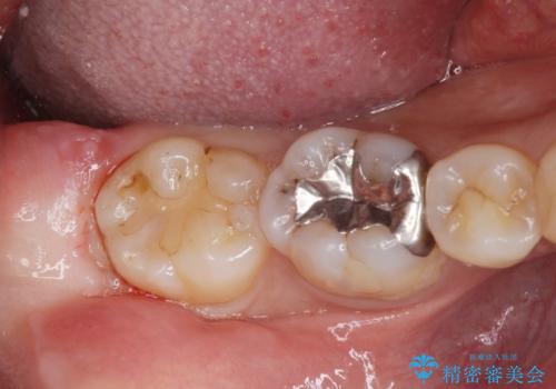
不快感が続く奥歯 外科処置を併用したセラミック補綴治療


コンプレックスだった前歯のガタガタがここまで綺麗になるなんて!!


親知らずの移植 4年半経過症例 70代女性


外科処置の注意事項(リスク・副作用など)
- 外科手術のため、術後に出血、痛みや腫れ、違和感を伴います
- 口腔内の状態によっては適応できないことがあります
