症例・治療例紹介
Cases
矯正歯科治療 → 叢生(でこぼこ・八重歯)
8ページ目 / 91
歯並びのせいで歯ブラシがしづらい マルチブラケットを用いた抜歯矯正
担当医 大元洋佑


【インビザライン】上前歯1本飛び出ているのを治したい


【インビザライン】前歯をきれいな歯並びにしたい


前歯のデコボコを抜歯矯正でスッキリした口元に
担当医 藤巻太一朗


気になる上顎前突 補助装置を用いた抜歯矯正で口元をすっきりと


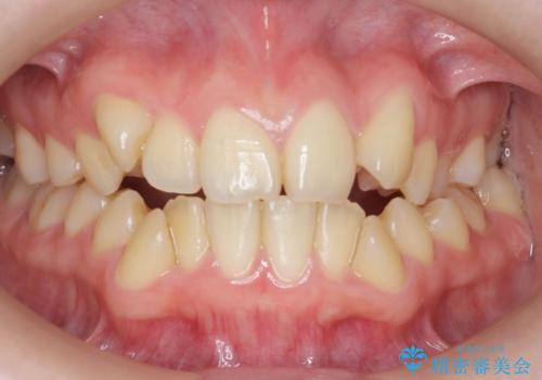
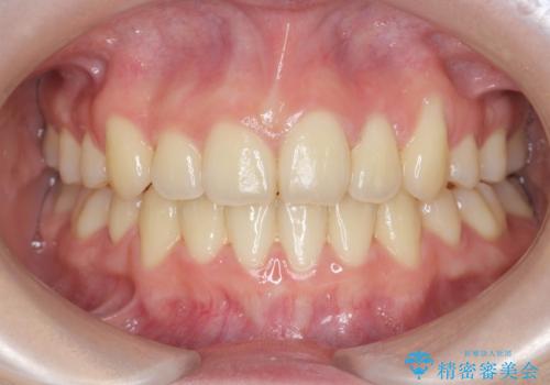
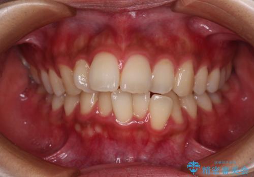
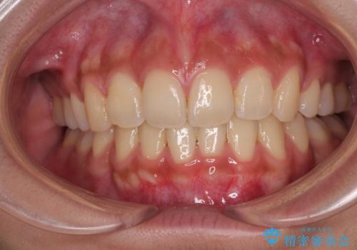
[前歯のねじれ 部分]ワイヤーとマウスピースの併用矯正治療
担当医 大元洋佑
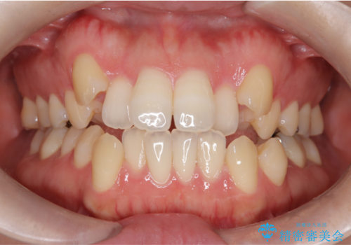
![[前歯のねじれ 部分]ワイヤーとマウスピースの併用矯正治療 の症例 治療前](https://seimitsushinbi.jp/wp/wp-content/uploads/2024/11/IMG_3012-500x350.jpg?v=1731313349)
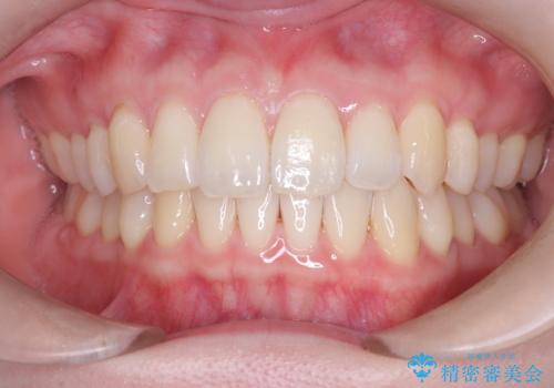
![[前歯のねじれ 部分]ワイヤーとマウスピースの併用矯正治療 の症例 治療後](https://seimitsushinbi.jp/wp/wp-content/uploads/2024/11/d62ebcf4699c90efb9ffd5ed659b7480-500x350.jpg?v=1731313408)
先天性の2歯欠損 個性を活かしたマウスピース矯正
担当医 大元洋佑


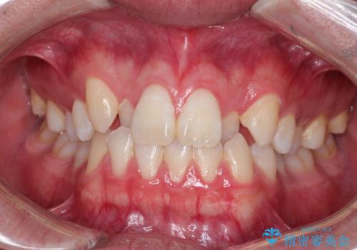
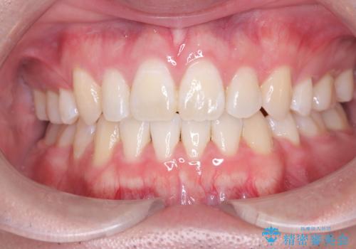
デコボコと口元の突出感を改善 抜歯矯正治療


子供の出っ歯 生え代わりと成長期を利用して非抜歯で矯正


下の前歯のちょっとしたがたつきを治したい
担当医 井上季実子


正中の改善と前歯の整列:抜歯を伴う矯正治療の症例
担当医 河口智英


インビザラインによる前歯のガタガタ改善治療


前歯の乱れをスッキリ解消!抜歯矯正で整えた美しい歯並び
担当医 河口智英


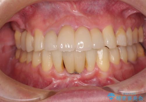
放置した歯列 矯正治療とインプラント治療で劇的に改善
担当医 藤巻太一朗


重度のがたつき 矯正治療+セラミック治療で綺麗な歯並びに 矯正専門では難しい治療
担当医 井上季実子


ワイヤー矯正歯科治療の注意事項(リスク・副作用など)
- 治療中は違和感や痛みが起こることがあります
- 症状により、抜歯が必要な場合があります
- 治療中は歯磨きがしにくくなるため、虫歯や歯周病になりやすくなります
- 矯正治療後の保定が不十分だと後戻り(元の位置に戻ろうとする動き)をします
- 自費診療(保険適用外)となります
マウスピース矯正の注意事項(リスク・副作用など)
- 口腔内・歯並びの状態によっては対応できない場合があります
- マウスピース型矯正装置の長時間装着が必須です
- 治療計画通りに進めるためには、患者様の意志が重要になります
- 矯正治療後の保定が不十分だと後戻り(元の位置に戻ろうとする動き)をします
- 自費診療(保険適用外)となります
