症例・治療例紹介
Cases
矯正歯科治療 → インビザライン
70ページ目 / 76
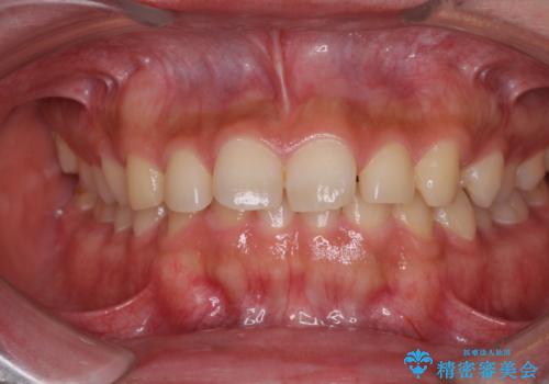
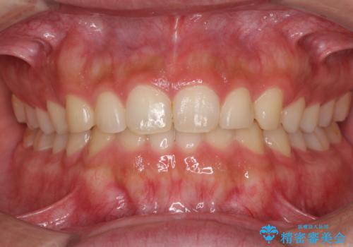
インビザライン ライトパッケージ invisalign lite わずかなガタつきの改善を


invisalign lite インビザライン ライト で軽度なガタつきの改善を


Invisalign lite インビザライン ライトパッケージによる軽度の叢生治療


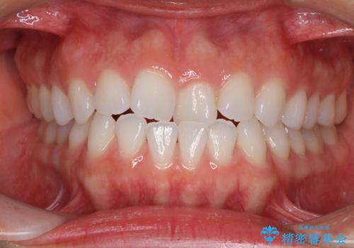
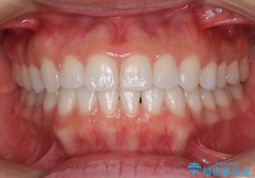
Invisalign インビザラインによるかみ合わせ治療 ガタつきとかみ合わせの深さを改善


インビザラインでガタガタの治療 かんでいない奥歯を正しい位置へ


上の前歯に隙間ある インビザラインによる目立たない矯正


インビザラインによる、すきっ歯の改善


マウスピース矯正 前歯が後ろに引っ込んでいるのを、半年で


マウスピース矯正の代名詞 インビザラインによる前歯のクロスバイト治療


変則的なかみ合わせ インビザラインによるかみ合わせとガタつきの治療


インビザライン治療 ガタつきの改善と一緒に、なるべく前歯を下げたい


インビザラインによるかみ合わせの治療 奥歯の位置関係を是正してガタつきを治す


マウスピース矯正の注意事項(リスク・副作用など)
- 口腔内・歯並びの状態によっては対応できない場合があります
- マウスピース型矯正装置の長時間装着が必須です
- 治療計画通りに進めるためには、患者様の意志が重要になります
- 矯正治療後の保定が不十分だと後戻り(元の位置に戻ろうとする動き)をします
- 自費診療(保険適用外)となります






