症例・治療例紹介
Cases
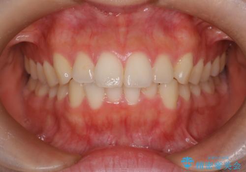
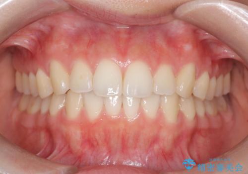
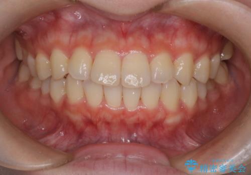
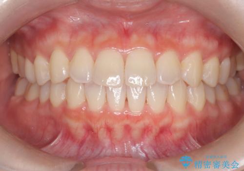
矯正歯科治療 → 叢生(でこぼこ・八重歯)
7ページ目 / 91
気になる出っ歯を治したい ワイヤー装置の抜歯矯正でスッキリした横顔に


【ワイヤー矯正】八重歯 歯のでこぼこを治したい!


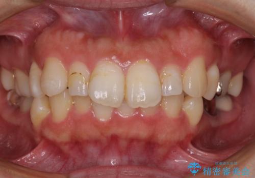
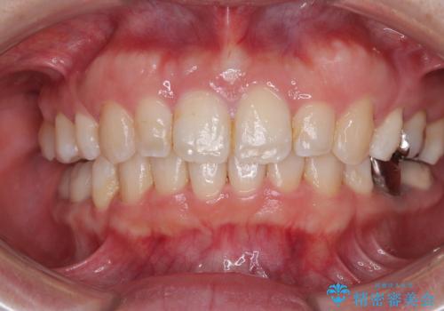
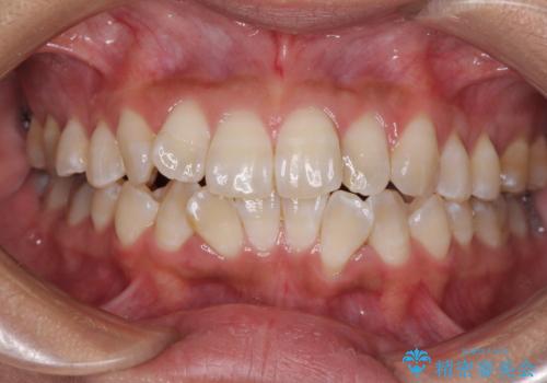
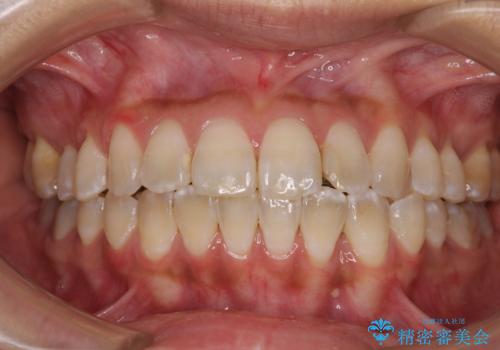
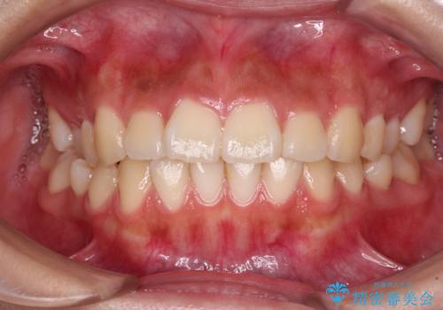
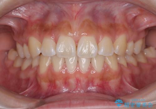
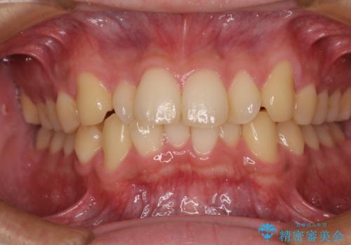
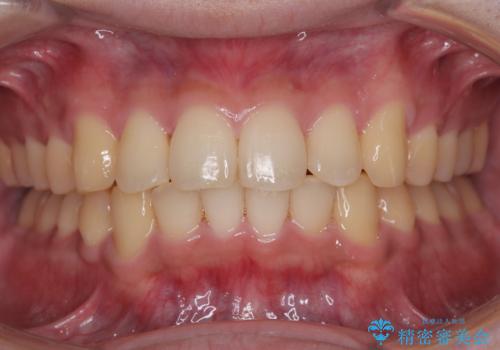
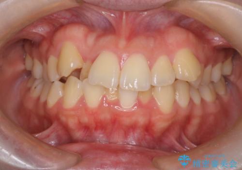
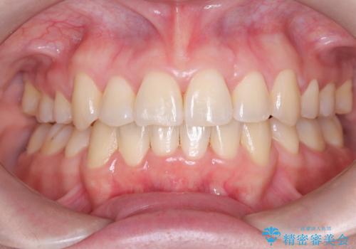
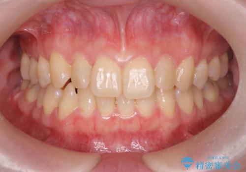
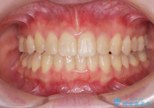
下顎前歯の叢生を短期間で改善
担当医 河口智英


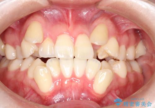
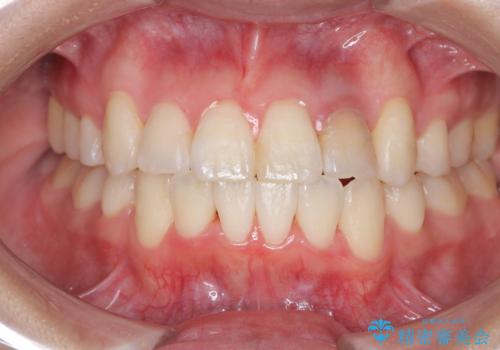
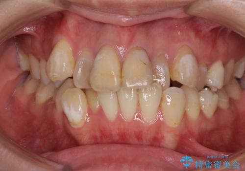
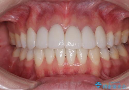
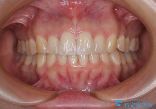
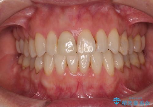
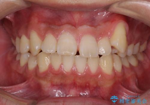
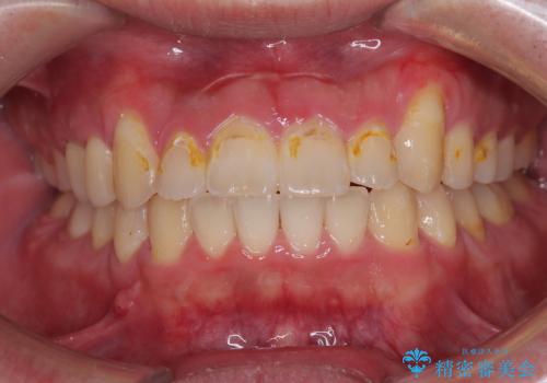
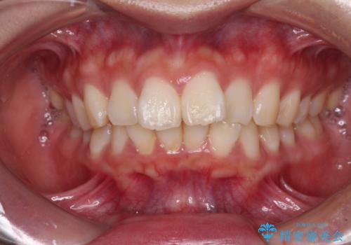
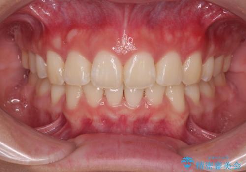
前歯と奥歯のガタガタを矯正で改善
担当医 河口智英


全く目立たないワイヤー矯正 上下裏側矯正


気になる八重歯と変色した前歯 抜歯矯正とセラミッククラウン治療


飛び出ている出っ歯を治したい 目立たない装置での抜歯矯正治療


前に飛び出して目立っている前歯を整える インビザライン矯正治療
担当医 藤巻太一朗


デコボコと銀歯 矯正治療とセラミック治療で綺麗な口元に


前歯のデコボコを治したい ワイヤー装置での非抜歯矯正
担当医 藤巻太一朗


目立つ八重歯を非抜歯矯正で整える 目立たないワイヤー矯正
担当医 藤巻太一朗


サクソフォン(アルト)の演奏で崩れてしまった歯並び、マウスピース矯正治療


結婚式に向けた歯列矯正
担当医 河口智英


口元が出ているのを改善したい。 クリアブラケットによる抜歯矯正


前歯のねじれを治したい リーズナブルなインビザラインモデレートプラン
担当医 大元洋佑


ワイヤー矯正歯科治療の注意事項(リスク・副作用など)
- 治療中は違和感や痛みが起こることがあります
- 症状により、抜歯が必要な場合があります
- 治療中は歯磨きがしにくくなるため、虫歯や歯周病になりやすくなります
- 矯正治療後の保定が不十分だと後戻り(元の位置に戻ろうとする動き)をします
- 自費診療(保険適用外)となります
マウスピース矯正の注意事項(リスク・副作用など)
- 口腔内・歯並びの状態によっては対応できない場合があります
- マウスピース型矯正装置の長時間装着が必須です
- 治療計画通りに進めるためには、患者様の意志が重要になります
- 矯正治療後の保定が不十分だと後戻り(元の位置に戻ろうとする動き)をします
- 自費診療(保険適用外)となります
