症例・治療例紹介
Cases
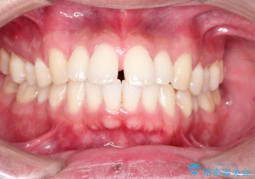
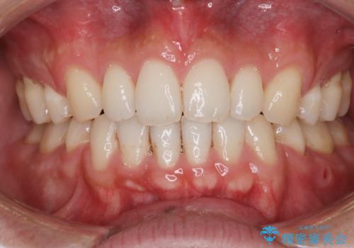
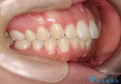
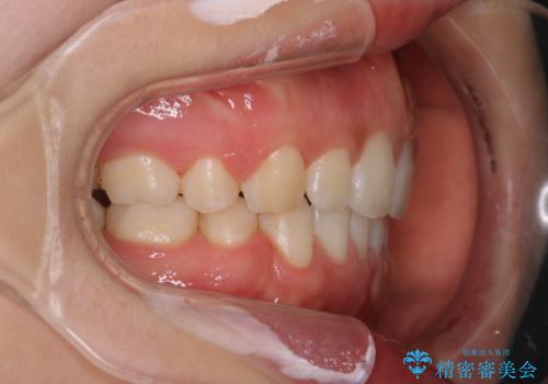
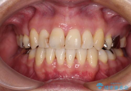
矯正歯科治療 → 上下顎前突(口ゴボ)
7ページ目 / 13
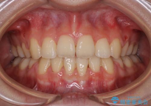
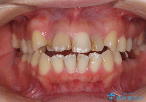
【モニター】治療途中で引っ越し ワイヤー装置を用いた抜歯矯正


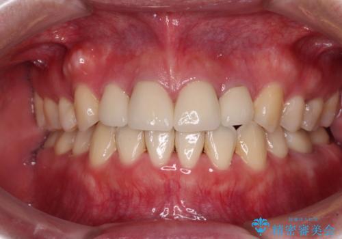
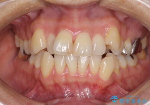
目立たない装置で出っ歯を治したい ハーフリンガル矯正


内側に倒れた前歯と口元の突出感 ワイヤー装置での抜歯矯正


目立たない裏側矯正で突出感を改善 ハーフリンガル矯正
担当医 藤巻太一朗


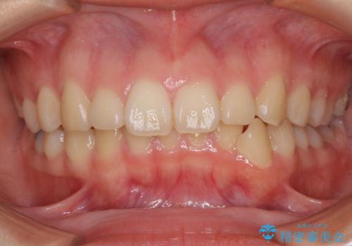
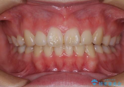
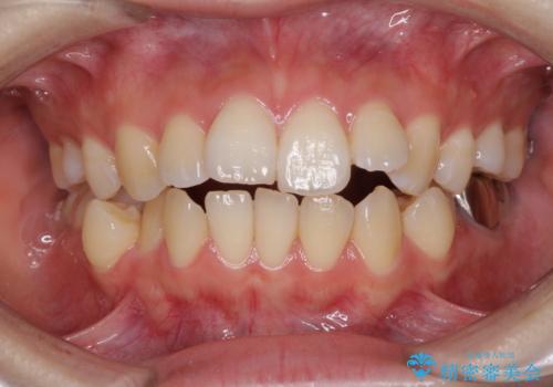
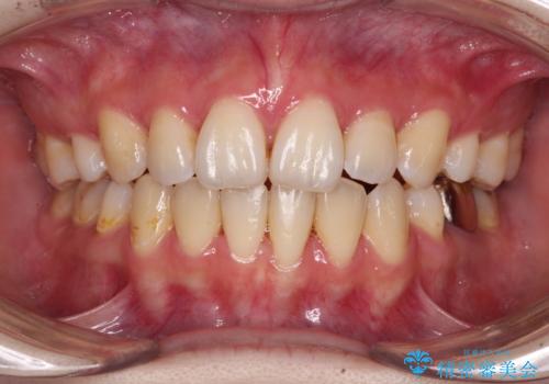
閉じにくい口元と八重歯 ワイヤー装置での抜歯矯正


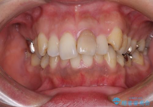
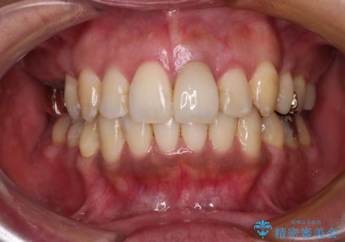
前歯の隙間を閉じたい 口元も下げたい ハーフリンガルによる抜歯矯正


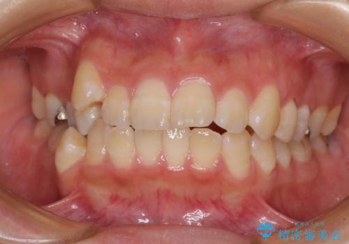
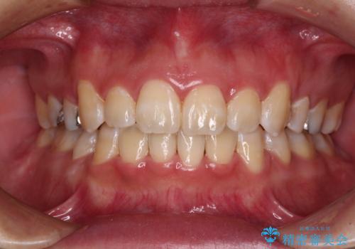
口元を下げてすっきりさせたい ワイヤー抜歯矯正で口元の改善


【モニター】口が閉じにくい 目立たないワイヤー装置で口元を引っ込める


隙間が空いて突出した前歯を治したい ワイヤー装置による抜歯矯正


ワイヤーによる抜歯矯正でガタガタの改善


唇を閉じやすく 出っ歯の抜歯矯正
担当医 藤巻太一朗


八重歯と開咬を治したい 目立たないハーフリンガル矯正


出っ歯による口の閉じにくさを治したい ワイヤー装置を用いた抜歯矯正
担当医 藤巻太一朗


前歯の出っ歯と口の閉じにくさが気になる 目立たないワイヤー装置での抜歯矯正
担当医 藤巻太一朗


八重歯で口元が膨れている ワイヤー装置での抜歯矯正


ワイヤー矯正歯科治療の注意事項(リスク・副作用など)
- 治療中は違和感や痛みが起こることがあります
- 症状により、抜歯が必要な場合があります
- 治療中は歯磨きがしにくくなるため、虫歯や歯周病になりやすくなります
- 矯正治療後の保定が不十分だと後戻り(元の位置に戻ろうとする動き)をします
- 自費診療(保険適用外)となります
マウスピース矯正の注意事項(リスク・副作用など)
- 口腔内・歯並びの状態によっては対応できない場合があります
- マウスピース型矯正装置の長時間装着が必須です
- 治療計画通りに進めるためには、患者様の意志が重要になります
- 矯正治療後の保定が不十分だと後戻り(元の位置に戻ろうとする動き)をします
- 自費診療(保険適用外)となります
