症例詳細
Case detail
目立たない裏側矯正で突出感を改善 ハーフリンガル矯正
治療症例の内容
- 診療科目
- 治療カテゴリ
- 担当医
- 藤巻太一朗(ドクタープロフィール)
- 患者様
- 20代女性
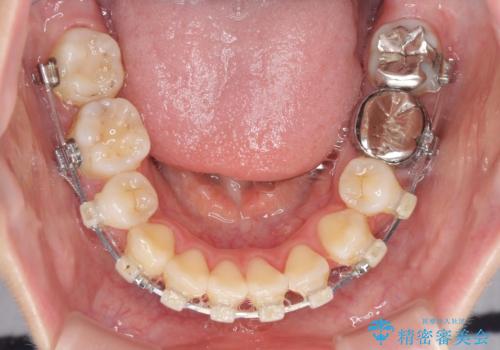
- 矯正装置
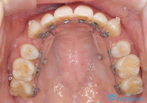
- ハーフリンガル
- 治療期間
- 4年6ヶ月
- 治療回数
- 10-30回
- 治療計画
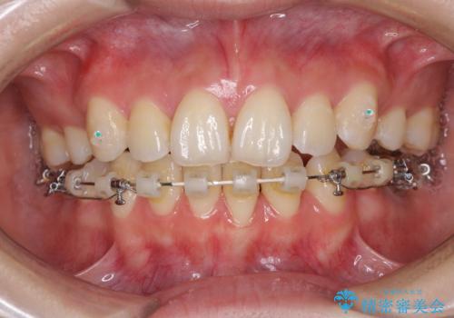
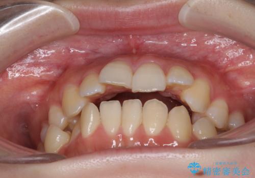
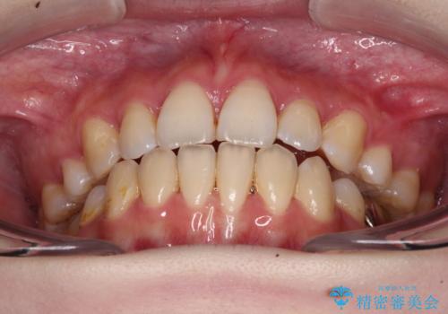
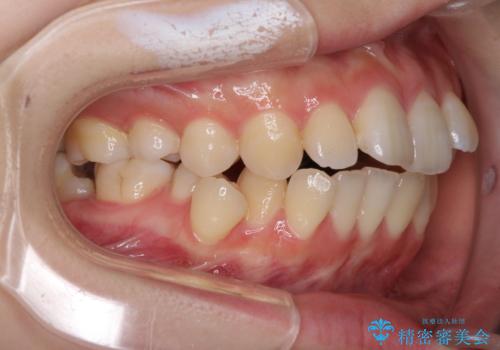
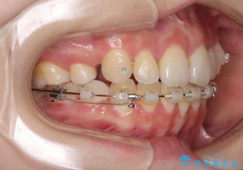
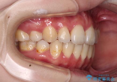
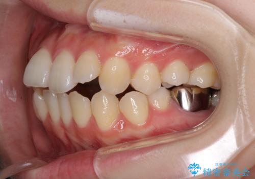
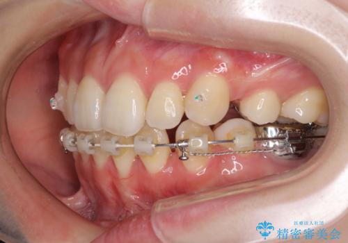
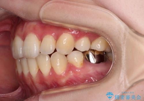
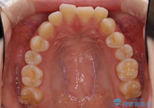
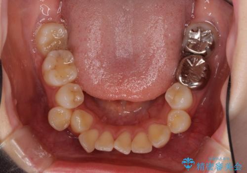
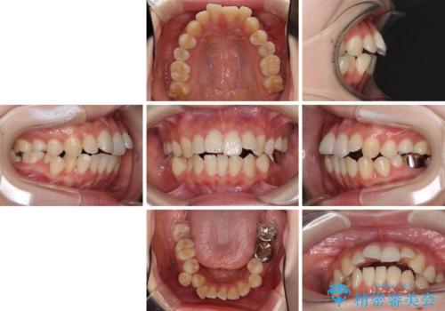
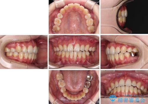
- 口元の突出感を気にして来院された患者様です。
上下左右の第一小臼歯4本を抜歯して口元を下げる治療計画としました。
- 費用(概算)
- 治療費の目安: 140万円(税込)費用は治療当時の料金となります
治療について
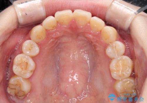
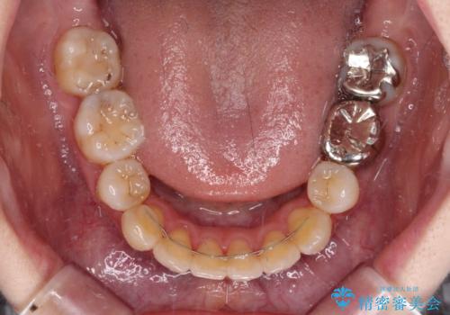
裏側矯正特有の抜歯スペースに前後の歯が倒れ込む状態が長く続き、改善に長期間を要しました。
ワイヤー矯正の注意事項(リスク・副作用など)
- 治療中は違和感や痛みが起こることがあります
- 症状により、抜歯が必要な場合があります
- 治療中は歯磨きがしにくくなるため、虫歯や歯周病になりやすくなります
- 矯正治療後の保定が不十分だと後戻り(元の位置に戻ろうとする動き)をします
- 自費診療(保険適用外)となります
当サイトの内容、テキスト、画像等の無断転載、複製、複写、盗用を固く禁じます。


























