症例・治療例紹介
Cases
矯正歯科治療 → インビザライン
67ページ目 / 76
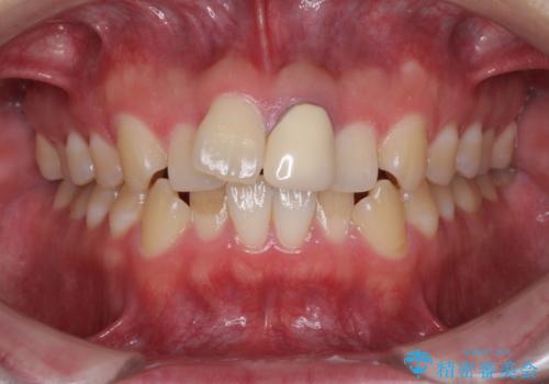
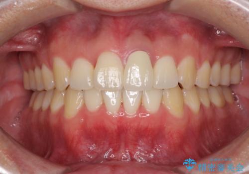
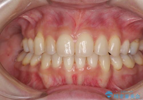
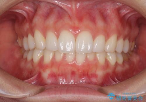
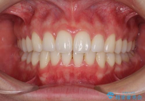
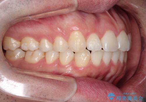
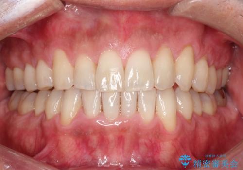
前歯の歯並びとクラウンを改善 インビザラインとオールセラミック


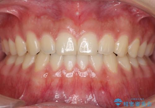
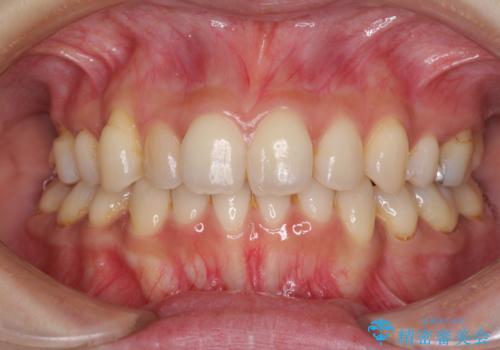
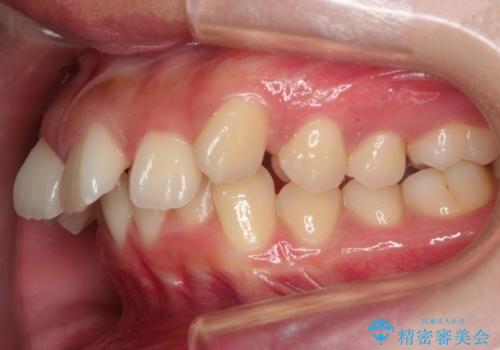
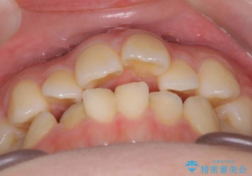
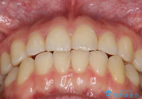
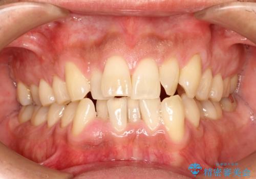
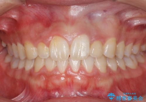
前歯のすきま 受け口 インビザラインで


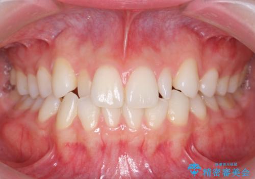
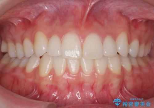
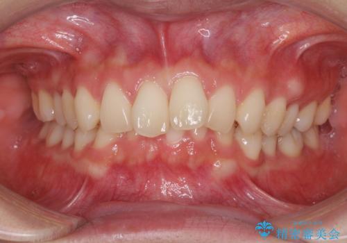
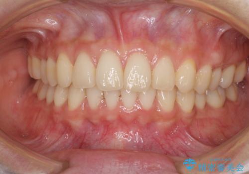
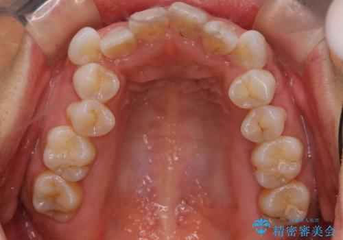
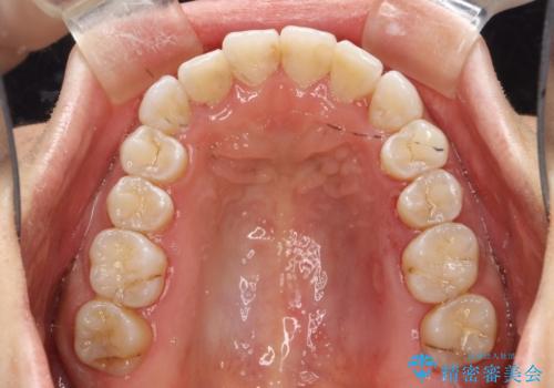
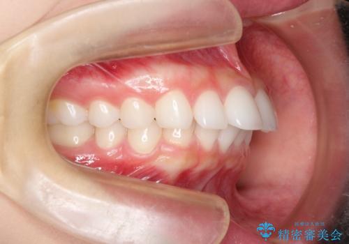
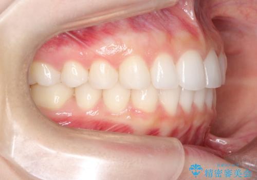
軽度な歯列不正 インビザライン・ライトによる矯正治療
担当医 藤巻太一朗


矯正治療の後戻りをインビザライン・ライトで改善
担当医 藤巻太一朗


抜かない矯正 前歯がとび出ているのをマウスピースで


インビザラインで前歯のがたつきを目立たずに矯正治療


シビアな前突症・過蓋咬合 インビザラインで改善する invisalign


インビザラインによるガタつきの矯正治療 シンプル・短期間


インビザライン invisalign ガタつきを治すマウスピース矯正


前歯のすきま 矯正治療とセラミックで小さな歯を形良く


矮小歯 インビザラインとセラミックで美しく


マウスピース矯正の注意事項(リスク・副作用など)
- 口腔内・歯並びの状態によっては対応できない場合があります
- マウスピース型矯正装置の長時間装着が必須です
- 治療計画通りに進めるためには、患者様の意志が重要になります
- 矯正治療後の保定が不十分だと後戻り(元の位置に戻ろうとする動き)をします
- 自費診療(保険適用外)となります








