症例・治療例紹介
Cases
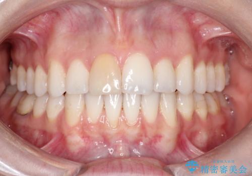
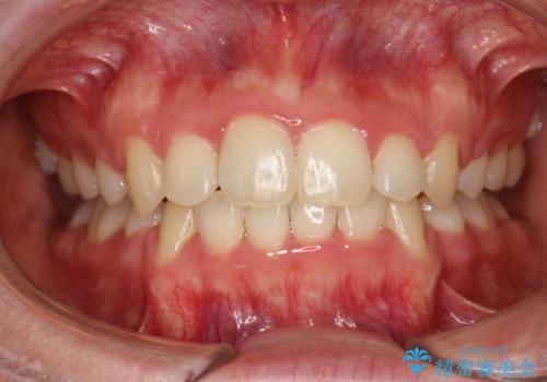
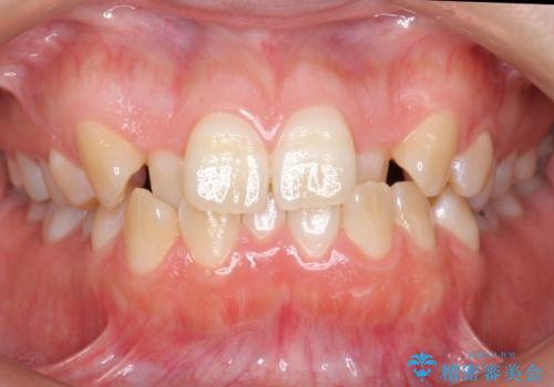
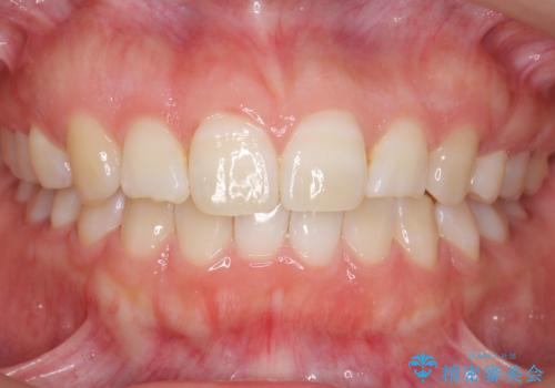
矯正歯科治療 → 叢生(でこぼこ・八重歯)
65ページ目 / 91
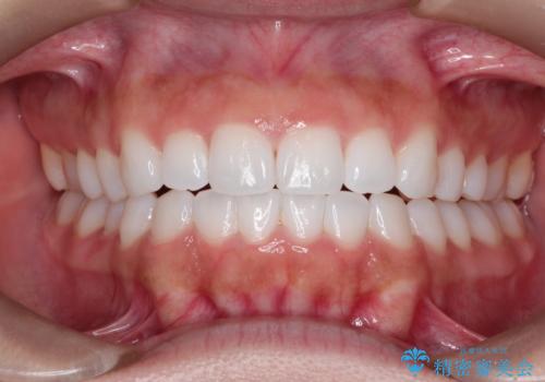
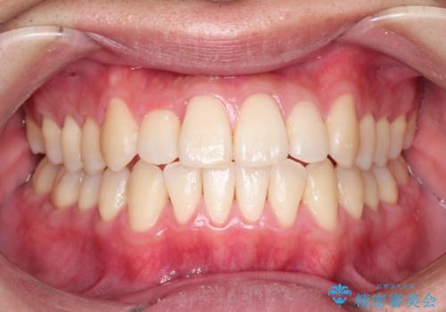
ワイヤーによる抜歯矯正でガタガタと深いかみ合わせの改善


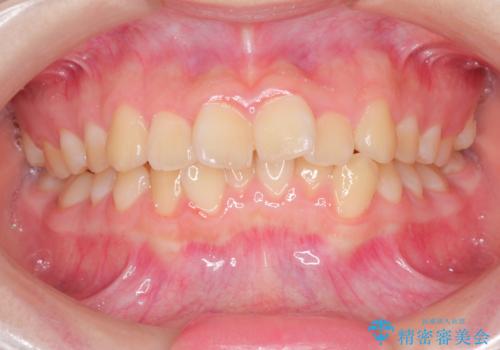
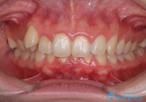
インビザラインによる非抜歯での八重歯の矯正


全体的ながたつき ワイヤーによる抜歯矯正で整った歯並びへ


矯正治療の後戻り ガタガタになった前歯の部分矯正
担当医 藤巻太一朗


体育会系の部活をしながら インビザラインを用いた矯正治療


短期間で治療したい 目立たないワイヤー装置での非抜歯矯正


よくある悩み 前歯が裏に2本入っているのを治したい


前歯のデコボコを治したい インビザラインによる矯正治療


埋まっている奥歯を引っ張り出す インビザライン矯正


インビザラインを用いた叢生(歯並びのガタつき)の治療


前歯のクロスバイトとガタつきをマウスピース矯正(インビザライン )で治療した症例


前歯の突出、深い噛み合わせ、ガタつきをマウスピース矯正(インビザライン)で治療した症例


上下の前歯のガタガタを目立たず治したい インビザラインによる見えない矯正


気になる八重歯を治したい インビザラインと補助装置を用いた抜歯治療


「整形した?」と言われるほどの変化! 口元を矯正治療で改善 鼻を高くしたわけでも、アゴに何か入れたわけでもありません。


ワイヤー矯正歯科治療の注意事項(リスク・副作用など)
- 治療中は違和感や痛みが起こることがあります
- 症状により、抜歯が必要な場合があります
- 治療中は歯磨きがしにくくなるため、虫歯や歯周病になりやすくなります
- 矯正治療後の保定が不十分だと後戻り(元の位置に戻ろうとする動き)をします
- 自費診療(保険適用外)となります
マウスピース矯正の注意事項(リスク・副作用など)
- 口腔内・歯並びの状態によっては対応できない場合があります
- マウスピース型矯正装置の長時間装着が必須です
- 治療計画通りに進めるためには、患者様の意志が重要になります
- 矯正治療後の保定が不十分だと後戻り(元の位置に戻ろうとする動き)をします
- 自費診療(保険適用外)となります
