症例・治療例紹介
Cases
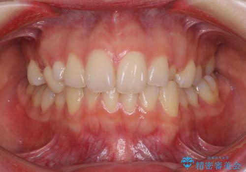
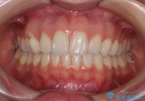
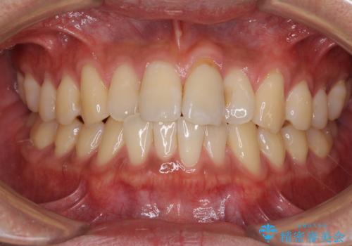
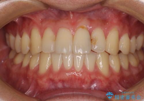
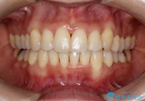
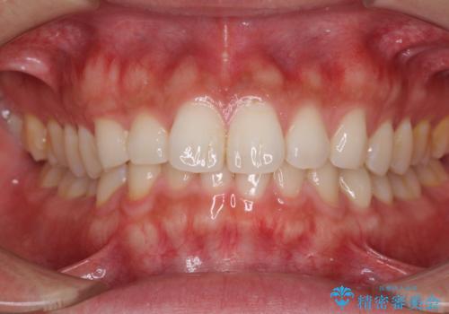
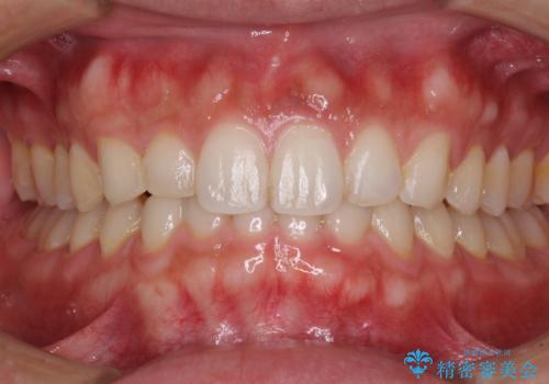
矯正歯科治療 → 叢生(でこぼこ・八重歯)
60ページ目 / 91
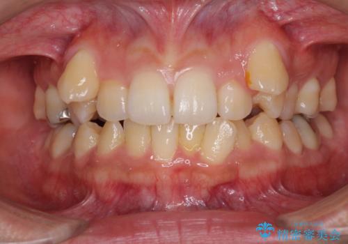
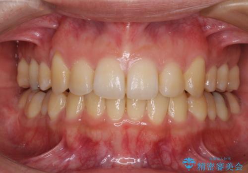
狭い上顎骨を拡大 急速拡大装置を併用したインビザライン矯正


インビザラインによる矯正治療 カリエールディスタライザーを用いた奥歯の咬み合わせ改善
担当医 藤巻太一朗


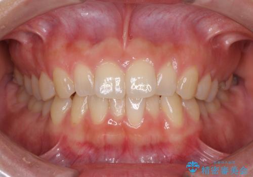
スッキリとした口元へ 出っ歯の抜歯矯正


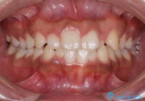
前歯のデコボコ ワイヤー装置での短期間治療
担当医 藤巻太一朗


八重歯の抜歯矯正 補助装置を用いたインビザライン矯正
担当医 藤巻太一朗


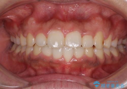
気になる前歯のデコボコをインビザラインで解消
担当医 藤巻太一朗


歯並びと目立つ金属を治したい 総合歯科治療


気になる前歯を整えたい インビザライン・ライトでの矯正治療
担当医 藤巻太一朗


重度のガタガタのインビザラインによる非抜歯矯正


細かい隙間にものがはさまる インビザラインによる矯正治療


八重歯を短期間で改善 ワイヤー装置による抜歯矯正
担当医 藤巻太一朗


部分矯正で出っ歯になった 出っ歯改善の抜歯矯正


口元をスッキリと ワイヤー装置による抜歯矯正


インビザラインが続けられない ワイヤー装置での矯正治療


インプラントによる補綴治療とインビザライン矯正


ワイヤー矯正歯科治療の注意事項(リスク・副作用など)
- 治療中は違和感や痛みが起こることがあります
- 症状により、抜歯が必要な場合があります
- 治療中は歯磨きがしにくくなるため、虫歯や歯周病になりやすくなります
- 矯正治療後の保定が不十分だと後戻り(元の位置に戻ろうとする動き)をします
- 自費診療(保険適用外)となります
マウスピース矯正の注意事項(リスク・副作用など)
- 口腔内・歯並びの状態によっては対応できない場合があります
- マウスピース型矯正装置の長時間装着が必須です
- 治療計画通りに進めるためには、患者様の意志が重要になります
- 矯正治療後の保定が不十分だと後戻り(元の位置に戻ろうとする動き)をします
- 自費診療(保険適用外)となります
