症例・治療例紹介
Cases
矯正歯科治療 → 審美装置
6ページ目 / 39
結婚式に向けた歯列矯正
担当医 河口智英


歯並びのせいで歯ブラシがしづらい マルチブラケットを用いた抜歯矯正
担当医 大元洋佑


前歯のデコボコを抜歯矯正でスッキリした口元に
担当医 藤巻太一朗


気になる上顎前突 補助装置を用いた抜歯矯正で口元をすっきりと


開咬をワイヤー装置で矯正治療
担当医 藤巻太一朗


どこで噛んだらいいのかわからない:ワイヤーによる矯正治療


反対咬合ですり減った前歯とむし歯だらけの奥歯 総合歯科治療


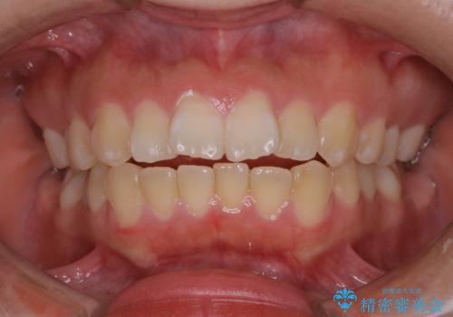
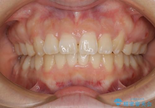
正中の改善と前歯の整列:抜歯を伴う矯正治療の症例
担当医 河口智英


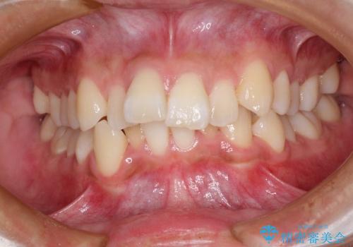
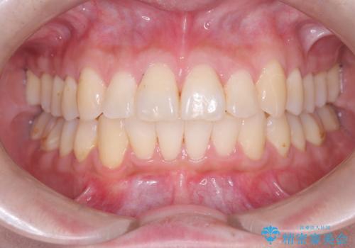
前歯の乱れをスッキリ解消!抜歯矯正で整えた美しい歯並び
担当医 河口智英


放置した歯列 矯正治療とインプラント治療で劇的に改善
担当医 藤巻太一朗


重度のがたつき 矯正治療+セラミック治療で綺麗な歯並びに 矯正専門では難しい治療
担当医 井上季実子


飛び出した上顎前歯 抜歯矯正で横顔の印象を改善
担当医 藤巻太一朗


八重歯と突出感を改善 ワイヤー装置での矯正治療


ワイヤー矯正歯科治療の注意事項(リスク・副作用など)
- 治療中は違和感や痛みが起こることがあります
- 症状により、抜歯が必要な場合があります
- 治療中は歯磨きがしにくくなるため、虫歯や歯周病になりやすくなります
- 矯正治療後の保定が不十分だと後戻り(元の位置に戻ろうとする動き)をします
- 自費診療(保険適用外)となります




