症例・治療例紹介
Cases
矯正歯科治療 → インビザライン
54ページ目 / 76
上下のガタガタのマウスピースによる非抜歯矯正


前歯が前後反対にかんでいる インビザラインによる矯正


前歯のがたつきをインビザラインで治療


ダンサーとしての仕事を続けながら インビザラインによる抜歯矯正


上顎の出っ歯とすきっ歯 補助装置を用いたインビザライン矯正


乳歯を抜いてインプラントに 咬み合わせ改善のインビザライン矯正


全体のガタガタをインビザラインできれいな歯並びへ


骨格的に左右にずれいている 前歯のデコボコをインビザラインで解消


前歯のクロスバイト インビザライン矯正で改善


インビザラインを使用した深いかみ合わせの矯正


インビザラインによる矯正治療 前歯を整った歯並びへ


狭い歯列と前歯のデコボコ インビザラインによる矯正治療
担当医 藤巻太一朗


反対咬合で痛む前歯を改善 インビザラインによる矯正治療


前歯のがたつき インビザラインで 下の奥歯を後ろに下げる


マウスピース矯正の注意事項(リスク・副作用など)
- 口腔内・歯並びの状態によっては対応できない場合があります
- マウスピース型矯正装置の長時間装着が必須です
- 治療計画通りに進めるためには、患者様の意志が重要になります
- 矯正治療後の保定が不十分だと後戻り(元の位置に戻ろうとする動き)をします
- 自費診療(保険適用外)となります

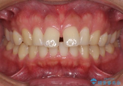
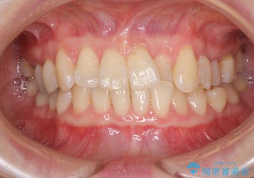
![[ インビザライン ] マウスピース矯正で治す出っ歯の治療の症例 治療前](https://seimitsushinbi.jp/wp/wp-content/uploads/2021/07/IMG_0003-500x350.jpg?v=1625623976)
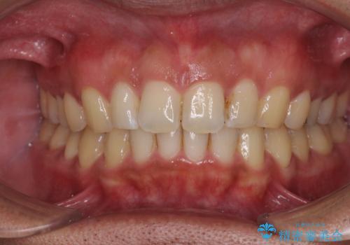
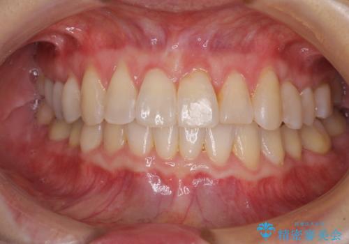
![[ インビザライン ] マウスピース矯正で治す出っ歯の治療の症例 治療後](https://seimitsushinbi.jp/wp/wp-content/uploads/2021/07/IMG_1500-500x350.jpg?v=1625624131)